Telefon:
+49 (0)241 95 163 153
Fax:
+49 (0)241 95 163 155
E-Mail:
orders@antikoerper-online.de

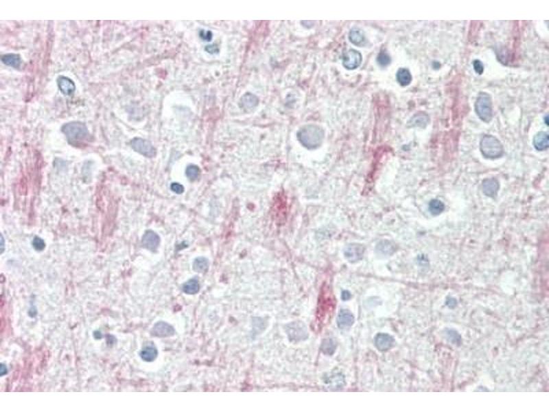
GPR125 Antikörper (AA 1098-1109)

Der Ziege Polyklonal anti-GPR125 Antikörper (ABIN1804467) detektiert spezifisch GPR125 in WB, ELISA, IHC und IHC (p). Dieser Antikörper reagiert spezifisch mit Proben aus Human, Maus, Rind (Kuh), Fledermaus, Hamster, Pferd, Affe und Kaninchen.
Produktnummer ABIN1804467
639,37 €
Zzgl. Versandkosten 20,00 € und MwSt
50 μg
Lieferung nach: Deutschland
Lieferung in 15 bis 20 Werktagen

Kurzübersicht für GPR125 Antikörper (AA 1098-1109) (ABIN1804467)

Target

Alle GPR125 Antikörper anzeigen
GPR125 (G Protein-Coupled Receptor 125 (GPR125))

Reaktivität

Human, Maus, Rind (Kuh), Fledermaus, Hamster, Pferd, Affe, Kaninchen

Wirt

  • 28
  • 1
Ziege

Klonalität

  • 29
Polyklonal

Konjugat

  • 7
  • 3
  • 2
  • 2
  • 1
  • 1
  • 1
  • 1
  • 1
  • 1
  • 1
  • 1
  • 1
  • 1
  • 1
  • 1
  • 1
  • 1
  • 1
Dieser GPR125 Antikörper ist unkonjugiert

Applikation

  • 23
  • 17
  • 13
  • 13
  • 9
  • 3
  • 3
  • 2
  • 1
  • 1
  • 1
Western Blotting (WB), ELISA, Immunohistochemistry (IHC), Immunohistochemistry (Paraffin-embedded Sections) (IHC (p))
  • Bindungsspezifität

    • 16
    • 5
    • 1
    • 1
    • 1
    • 1
    AA 1098-1109

    Spezifität

    Human GPR125.

    Aufreinigung

    Immunoaffinity purified

    Immunogen

    Synthetic peptide CTNKSASSFKNS from an internal region of human GPR125 (NP_660333.2). Percent identity by BLAST analysis: Human, Gorilla, Gibbon, Monkey, Marmoset, Mouse, Hamster, Elephant, Bovine, Bat, Horse, Rabbit (100%), Panda, Dog, Pig, Opossum, Turkey, Platypus, Xenopus (92%), Chicken (83%).

    Type of Immunogen: Synthetic peptide
  • Applikationshinweise

    Approved: IHC, IHC-P (3.75 μg/mL), Peptide-ELISA (1:8000), WB (0.5 - 1.5 μg/mL)

    Usage: Peptide ELISA: antibody detection limit dilution 1:8000. Western Blot: Approx 140kD band observed in Human Ovary lysates (calculated MW of 146kD according to NP_660333.2). Recommended concentration: 0.5-1.5 μg/mL. An additional band of unknown identity was also consistently observed at 33kD. This band was successfully blocked by incubation with the immunizing peptide. We would appreciate any feedback from people in the field - have any such results been reported with other antibodies / lysates? Have any further splice variants / modified forms been reported?

    Kommentare

    Target Species of Antibody: Human

    Beschränkungen

    Nur für Forschungszwecke einsetzbar
  • Format

    Liquid

    Konzentration

    Lot specific

    Buffer

    Tris-buffered saline,  pH 7.3, 0.5 % BSA, 0.02 % sodium azide

    Konservierungsmittel

    Sodium azide

    Vorsichtsmaßnahmen

    This product contains Sodium azide: a POISONOUS AND HAZARDOUS SUBSTANCE which should be handled by trained staff only.

    Handhabung

    Avoid repeated freezing and thawing.

    Lagerung

    -20 °C

    Informationen zur Lagerung

    Store at -20°C. Avoid freeze-thaw cycles.
  • Target

    GPR125 (G Protein-Coupled Receptor 125 (GPR125))

    Andere Bezeichnung

    ADGRA3 / GPR125

    Hintergrund

    Name/Gene ID: ADGRA3
    Subfamily: Orphan-B
    Family: GPCR

    Synonyms: ADGRA3, GPR125, TEM5L, G protein-coupled receptor 125, PGR21

    Gen-ID

    166647

    NCBI Accession

    NP_660333

    UniProt

    Q8IWK6
Sie sind hier:
Chat with us!