SGSM2 Antikörper (Internal Region)
Kurzübersicht für SGSM2 Antikörper (Internal Region) (ABIN1804219)
Target
Reaktivität
Wirt
Klonalität
Konjugat
Applikation
-
-
Bindungsspezifität
- Internal Region
-
Spezifität
- Multiple isoforms of SGSM2 are known to exist. SGSM2 antibody is predicted to not cross react with other SGSM family proteins.
-
Aufreinigung
- Immunoaffinity purified
-
Isotyp
- IgG
-
-
-
-
Applikationshinweise
-
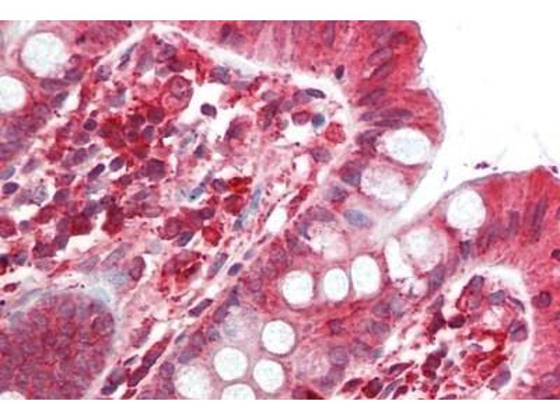
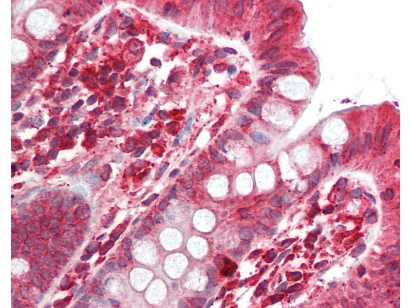
Approved: IHC, IHC-P (5 μg/mL), WB (1 - 2 μg/mL)
Usage: SGSM2 antibody can be used for detection of SGSM2 by Western blot at 1-2 μg/mL. -
Kommentare
-
Target Species of Antibody: Human
-
Beschränkungen
- Nur für Forschungszwecke einsetzbar
-
-
-
Format
- Liquid
-
Konzentration
- Lot specific
-
Buffer
- PBS, 0.02 % sodium azide
-
Konservierungsmittel
- Sodium azide
-
Vorsichtsmaßnahmen
- This product contains Sodium azide: a POISONOUS AND HAZARDOUS SUBSTANCE which should be handled by trained staff only.
-
Handhabung
- Avoid repeated freezing and thawing.
-
Lagerung
- 4 °C,-20 °C
-
Informationen zur Lagerung
- Store at 4°C for 3 months and -20°C, stable for up to 1 year. Avoid repeated freeze-thaw cycles.
-
Haltbarkeit
- 12 months
-
-
- SGSM2 (Small G Protein Signaling Modulator 2 (SGSM2))
-
Andere Bezeichnung
- SGSM2
-
Hintergrund
-
Name/Gene ID: SGSM2
Synonyms: SGSM2, KIAA0397, RUTBC1 -
Gen-ID
- 9905
-
UniProt
- O43147
Target
-