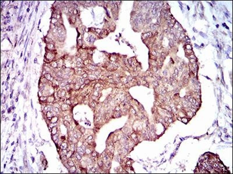
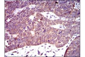
PDE1B Antikörper (AA 370-536)
Kurzübersicht für PDE1B Antikörper (AA 370-536) (ABIN1724782)
Target
Alle PDE1B Antikörper anzeigenReaktivität
Wirt
Klonalität
Konjugat
Applikation
Klon
-
-
Bindungsspezifität
- AA 370-536
-
Verwendungszweck
- PDE1B Antibody
-
Aufreinigung
- Purified antibody
-
Immunogen
- Purified recombinant fragment of human PDE1B (AA: 370-536) expressed in E. Coli.
-
Isotyp
- IgG1
-
-
-
-
Applikationshinweise
-
ELISA: 1/10000
FCM: 1/200 - 1/400
-
Beschränkungen
- Nur für Forschungszwecke einsetzbar
-
-
-
Format
- Liquid
-
Buffer
- Purified antibody in PBS with 0.05 % sodium azide.
-
Konservierungsmittel
- Sodium azide
-
Vorsichtsmaßnahmen
- This product contains Sodium azide: a POISONOUS AND HAZARDOUS SUBSTANCE which should be handled by trained staff only.
-
Lagerung
- 4 °C,-20 °C
-
Informationen zur Lagerung
- Store at 4°C short term. Aliquot and store at -20°C long term. Avoid freeze/thaw cycles.
-
-
-
: "Cyclic nucleotide phosphodiesterase PDE1C1 in human cardiac myocytes." in: The Journal of biological chemistry, Vol. 282, Issue 45, pp. 32749-57, (2007) (PubMed).
-
-
- PDE1B (phosphodiesterase 1B, Calmodulin-Dependent (PDE1B))
-
Andere Bezeichnung
- PDE1B
-
Hintergrund
-
The protein encoded by this gene belongs to the cyclic nucleotide phosphodiesterase (PDE) family, and PDE1 subfamily. Members of the PDE1 family are calmodulin-dependent PDEs that are stimulated by a calcium-calmodulin complex. This PDE has dual-specificity for the second messengers, cAMP and cGMP, with a preference for cGMP as a substrate. cAMP and cGMP function as key regulators of many important physiological processes. Alternatively spliced transcript variants encoding different isoforms have been described for this gene.
-
Molekulargewicht
- 61.4 kDa
-
Gen-ID
- 5153
-
UniProt
- Q01064
-
Pathways
- Neurotrophin Signalübertragung, cAMP Metabolic Process, G-protein mediated Events, Interaction of EGFR with phospholipase C-gamma
Target
-