Telefon:
+49 (0)241 95 163 153
Fax:
+49 (0)241 95 163 155
E-Mail:
orders@antikoerper-online.de

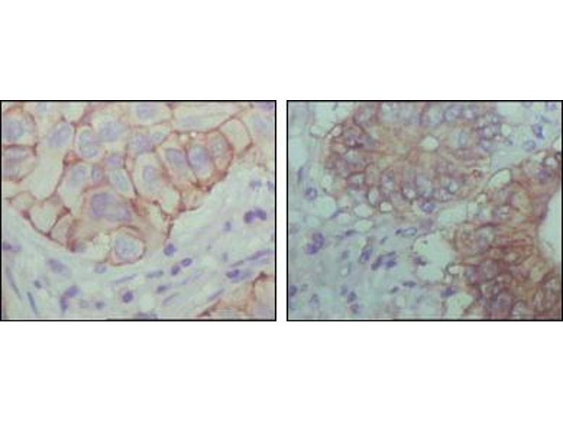
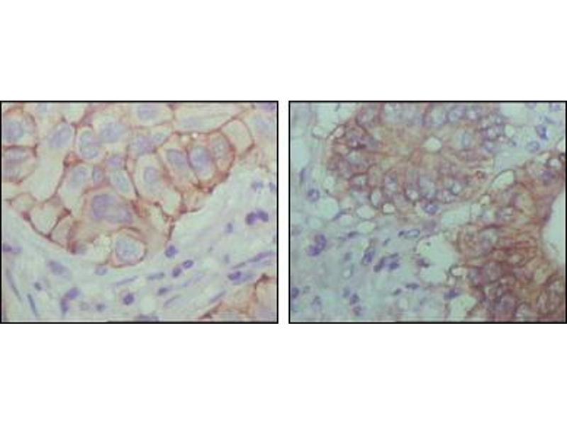
EhpB1 (AA 19-133) Antikörper

Es sind 2+ Publikationen für dieses Produkt verfügbar. Der Maus Monoklonal anti-EhpB1 Antikörper wird verwendet zum Nachweis von EhpB1 in Proben von Human. Er wurde validiert für IHC, ELISA und WB.
Produktnummer ABIN1724690
676,34 €
Zzgl. Versandkosten 20,00 € und MwSt
100 μL
Lieferung nach: Deutschland
Lieferung in 7 bis 10 Werktagen

Kurzübersicht für EhpB1 (AA 19-133) Antikörper (ABIN1724690)

Target

EhpB1

Reaktivität

Human

Wirt

Maus

Klonalität

Monoklonal

Applikation

Immunohistochemistry (IHC), ELISA, Western Blotting (WB)

Klon

5F10A4
  • Bindungsspezifität

    AA 19-133

    Verwendungszweck

    EhpB1 Antibody

    Aufreinigung

    Ascitic fluid

    Immunogen

    Purified recombinant fragment of EphB1 (aa19-133) expressed in E. Coli.

    Isotyp

    IgG1
  • Applikationshinweise

    ELISA: 1/10000

    Beschränkungen

    Nur für Forschungszwecke einsetzbar
  • Format

    Liquid

    Buffer

    Ascitic fluid containing 0.03 % sodium azide.

    Konservierungsmittel

    Sodium azide

    Vorsichtsmaßnahmen

    This product contains Sodium azide: a POISONOUS AND HAZARDOUS SUBSTANCE which should be handled by trained staff only.

    Lagerung

    4 °C,-20 °C

    Informationen zur Lagerung

    Store at 4°C short term. Aliquot and store at -20°C long term. Avoid freeze/thaw cycles.
  • Huynh-Do, Vindis, Liu, Cerretti, McGrew, Enriquez, Chen, Daniel: "Ephrin-B1 transduces signals to activate integrin-mediated migration, attachment and angiogenesis." in: Journal of cell science, Vol. 115, Issue Pt 15, pp. 3073-81, (2002) (PubMed).

    Prevost, Woulfe, Tanaka, Brass: "Interactions between Eph kinases and ephrins provide a mechanism to support platelet aggregation once cell-to-cell contact has occurred." in: Proceedings of the National Academy of Sciences of the United States of America, Vol. 99, Issue 14, pp. 9219-24, (2002) (PubMed).

  • Target

    EhpB1

    Hintergrund

    EhpB1: EPH receptor B1. It is a receptor for ephrin-B family members. Ephrin receptors and their ligands, the ephrins, medate numerous developmental processes, particularly in the nervous system. Based on their structures and sequence relationships, ephrins are divided into the ephrin-A (EFNA) class, which are anchored to the membrane by a glycosylphosphatidylinositol linkage, and the ephrin-B (EFNB) class, which are transmembrane proteins. The Eph family of receptors are divided into 2 groups based on the similarity of their extracellular domain sequences and their affinities for binding ephrin-A and ephrin-B ligands. Ephrin receptors make up the largest subgroup of the receptor tyrosine kinase (RTK) family.

    Molekulargewicht

    110 kDa

    UniProt

    P54762
Sie sind hier:
Chat with us!