Telefon:
+49 (0)241 95 163 153
Fax:
+49 (0)241 95 163 155
E-Mail:
orders@antikoerper-online.de

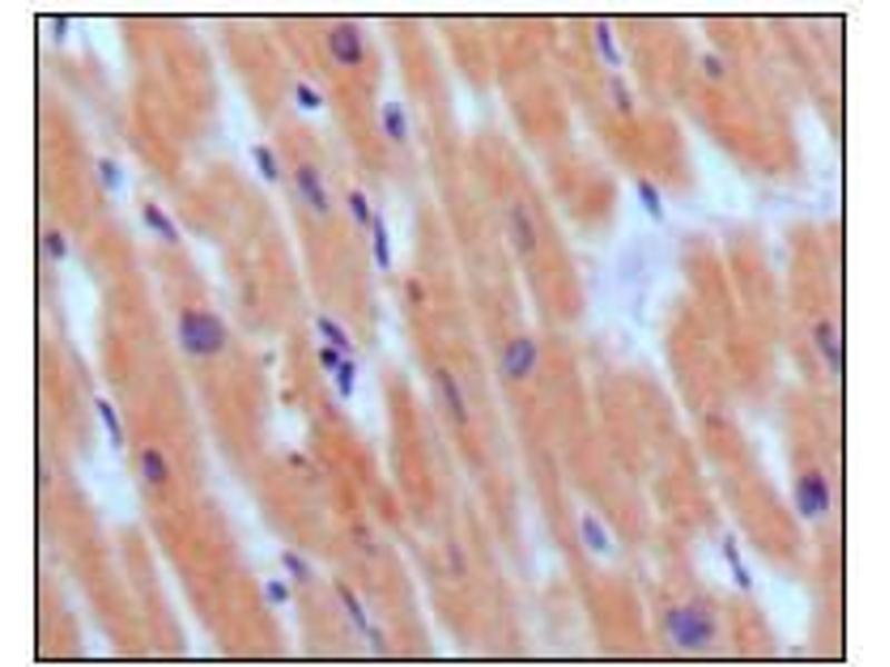
BNP Antikörper

Dieser Maus Monoklonal Antikörper detektiert spezifisch BNP in IHC und ELISA. Es zeigt Reaktivität gegenüber Proben von Human. Es wurde in 2+ Publikationen zitiert.
Produktnummer ABIN1724677
512,63 €
Zzgl. Versandkosten 20,00 € und MwSt
100 μL
Lieferung nach: Deutschland
Lieferung in 7 bis 10 Werktagen

Kurzübersicht für BNP Antikörper (ABIN1724677)

Target

Alle BNP Antikörper anzeigen
BNP (Brain Natriuretic Peptide (BNP))

Reaktivität

  • 51
  • 23
  • 9
  • 3
  • 3
Human

Wirt

  • 49
  • 34
  • 2
  • 1
  • 1
Maus

Klonalität

  • 49
  • 37
Monoklonal

Konjugat

  • 63
  • 9
  • 3
  • 1
  • 1
  • 1
  • 1
  • 1
  • 1
  • 1
  • 1
  • 1
  • 1
  • 1
  • 1
Dieser BNP Antikörper ist unkonjugiert

Applikation

  • 50
  • 37
  • 30
  • 25
  • 24
  • 13
  • 7
  • 6
  • 5
  • 5
  • 4
  • 4
  • 3
  • 2
  • 1
  • 1
  • 1
Immunohistochemistry (IHC), ELISA

Klon

3A6F7C7
  • Verwendungszweck

    BNP Antibody

    Sequenz

    Glu-Pro-Leu-Gln-Glu-Ser-Pro-Arg-Pro-Thr-Gly-Val-Trp-Cys

    Aufreinigung

    Ascitic fluid

    Immunogen

    Synthetic peptide corresponding to aa (Glu-Pro-Leu-Gln-Glu-Ser-Pro-Arg-Pro-Thr-Gly-Val-Trp-Cys) of human BNP, conjugated to KLH.

    Isotyp

    IgG1
  • Applikationshinweise

    ELISA: 1/10000

    Beschränkungen

    Nur für Forschungszwecke einsetzbar
  • Format

    Liquid

    Buffer

    Ascitic fluid containing 0.03 % sodium azide.

    Konservierungsmittel

    Sodium azide

    Vorsichtsmaßnahmen

    This product contains Sodium azide: a POISONOUS AND HAZARDOUS SUBSTANCE which should be handled by trained staff only.

    Lagerung

    4 °C,-20 °C

    Informationen zur Lagerung

    Store at 4°C short term. Aliquot and store at -20°C long term. Avoid freeze/thaw cycles.
  • Dawson, Struthers: "Screening for treatable left ventricular abnormalities in diabetic patients." in: Expert opinion on biological therapy, Vol. 3, Issue 1, pp. 107-12, (2003) (PubMed).

    Pfister, Erdmann, Schneider: "[Natriuretic peptides BNP and NT-pro-BNP--the "new troponins" for estimation of heart failure?]." in: Deutsche medizinische Wochenschrift (1946), Vol. 128, Issue 18, pp. 1007-12, (2003) (PubMed).

  • Target

    BNP (Brain Natriuretic Peptide (BNP))

    Andere Bezeichnung

    BNP

    Hintergrund

    BNP (brain natriuretic peptide) belongs to a family of structurally similar peptide hormones, which includes atrial natriuretic peptide (ANP), BNP, C-type natriuretic peptide (CNP) and urodilatin. ANP and BNP act mainly as cardiac hormones, produced primarily by the atrium and ventricle, respectively, while the gene encoding C-type natriuretic peptide is expressed mainly in the brain. BNP circulates in blood as a peptide hormone with natriuretic, vasodilatory and renin inhibitory properties. It is secreted predominantly by the left ventricular myocytes in response to volume expansion and pressure overload. These peptides are characterized by a common 17 amino acid ring structure with a disulfide bond between two cystein residues. This ring structure shows high homology between different natriuretic.

    Gen-ID

    4879

    UniProt

    P16860

    Pathways

    Hormone Activity
Sie sind hier:
Chat with us!