Telefon:
+49 (0)241 95 163 153
Fax:
+49 (0)241 95 163 155
E-Mail:
orders@antikoerper-online.de

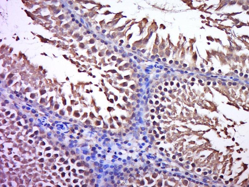
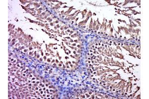
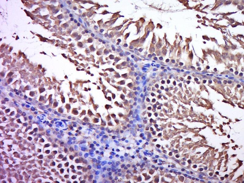
SSUH2 Antikörper (AA 51-150)

Der Kaninchen Polyklonal anti-SSUH2 Antikörper (ABIN1714425) detektiert spezifisch SSUH2 in WB, IF (cc), IF (p), ELISA, IHC (fro), IHC (p) und ICC. Dieser Antikörper reagiert spezifisch mit Proben aus Maus und Ratte.
Produktnummer ABIN1714425
357,70 €
Zzgl. Versandkosten 20,00 € und MwSt
100 μL
Lieferung nach: Deutschland
Lieferung in 8 bis 12 Werktagen

Kurzübersicht für SSUH2 Antikörper (AA 51-150) (ABIN1714425)

Target

SSUH2 (Ssu-2 Homolog (C. Elegans) (SSUH2))

Reaktivität

  • 16
  • 14
  • 4
  • 1
  • 1
  • 1
  • 1
Maus, Ratte

Wirt

  • 18
Kaninchen

Klonalität

  • 18
Polyklonal

Konjugat

  • 4
  • 1
  • 1
  • 1
  • 1
  • 1
  • 1
  • 1
  • 1
  • 1
  • 1
  • 1
  • 1
  • 1
  • 1
Dieser SSUH2 Antikörper ist unkonjugiert

Applikation

Western Blotting (WB), Immunofluorescence (Cultured Cells) (IF (cc)), Immunofluorescence (Paraffin-embedded Sections) (IF (p)), ELISA, Immunohistochemistry (Frozen Sections) (IHC (fro)), Immunohistochemistry (Paraffin-embedded Sections) (IHC (p)), Immunocytochemistry (ICC)
  • Bindungsspezifität

    • 14
    • 1
    • 1
    • 1
    • 1
    AA 51-150

    Kreuzreaktivität

    Maus, Ratte

    Homologie

    Human,Dog,Sheep

    Aufreinigung

    Purified by Protein A.

    Immunogen

    KLH conjugated synthetic peptide derived from human C3orf32

    Isotyp

    IgG
  • Applikationshinweise

    WB 1:300-5000
    ELISA 1:500-1000
    IHC-P 1:200-400
    IHC-F 1:100-500
    IF(IHC-P) 1:50-200
    IF(IHC-F) 1:50-200
    IF(ICC) 1:50-200
    ICC 1:100-500

    Beschränkungen

    Nur für Forschungszwecke einsetzbar
  • Format

    Liquid

    Konzentration

    1 μg/μL

    Buffer

    0.01M TBS( pH 7.4) with 1 % BSA, 0.02 % Proclin300 and 50 % Glycerol.

    Konservierungsmittel

    ProClin

    Vorsichtsmaßnahmen

    This product contains ProClin: a POISONOUS AND HAZARDOUS SUBSTANCE, which should be handled by trained staff only.

    Lagerung

    4 °C,-20 °C

    Informationen zur Lagerung

    Shipped at 4°C. Store at -20°C for one year. Avoid repeated freeze/thaw cycles.

    Haltbarkeit

    12 months
  • Target

    SSUH2 (Ssu-2 Homolog (C. Elegans) (SSUH2))

    Andere Bezeichnung

    C3orf32

    Hintergrund

    Synonyms: chromosome 3 open reading frame 32, fls485, SSU-2, SSUH2, SSUH2 ssu-2 homolog C. elegans, uncharacterized protein C3orf32 homolog, SSUH2_HUMAN.

    Background: C3orf32 (chromosome 3 open reading frame 32), also known as fls485, is a 353 amino acid protein encoded by a gene that maps to human chromosome 3p26.1. Chromosome 3 is made up of approximately 214 million bases encoding over 1,100 genes. Notably, there is a chemokine receptor gene cluster and a variety of human cancer related loci on chromosome 3. Particular regions of the chromosome 3 short arm are deleted in many types of cancer cells. Key tumor suppressing genes on chromosome 3 encode apoptosis mediator RASSF1, cell migration regulator HYAL1 and angiogenesis suppressor SEMA3B. Marfan Syndrome, porphyria, von Hippel-Lindau syndrome, osteogenesis imperfecta and Charcot-Marie-Tooth disease are a few of the numerous genetic diseases associated with chromosome 3.

    Gen-ID

    51066
Sie sind hier:
Chat with us!