Telefon:
+49 (0)241 95 163 153
Fax:
+49 (0)241 95 163 155
E-Mail:
orders@antikoerper-online.de

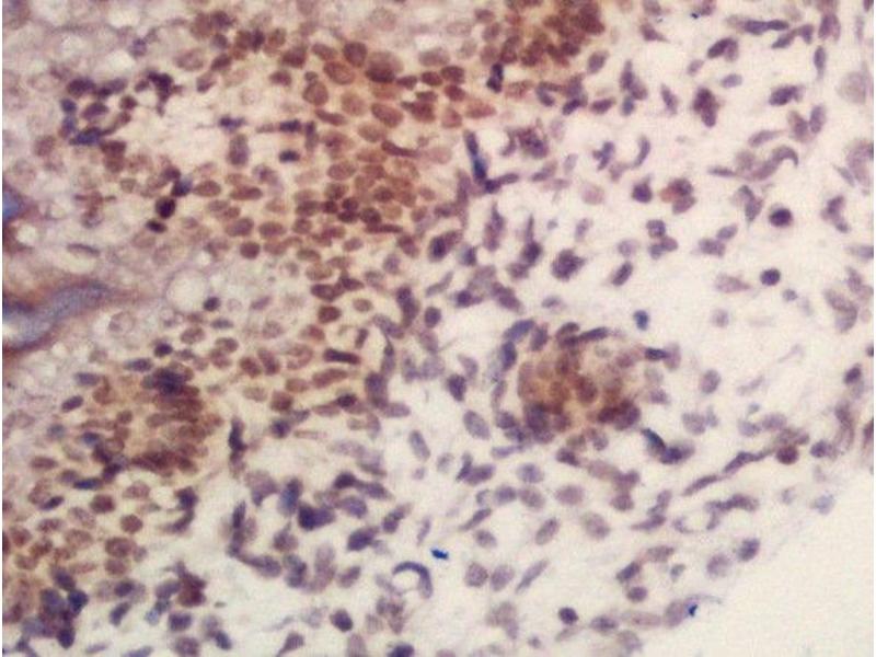
ARID1B Antikörper (AA 1501-1600)

Der Kaninchen Polyklonal anti-ARID1B Antikörper (ABIN1714038) detektiert spezifisch ARID1B in WB, ELISA, IHC (p), IF (cc), IF (p), ICC und IHC (fro). Dieser Antikörper reagiert spezifisch mit Proben aus Maus.
Produktnummer ABIN1714038
357,70 €
Zzgl. Versandkosten 20,00 € und MwSt
100 μL
Lieferung nach: Deutschland
Lieferung in 8 bis 12 Werktagen

Kurzübersicht für ARID1B Antikörper (AA 1501-1600) (ABIN1714038)

Target

Alle ARID1B Antikörper anzeigen
ARID1B (AT Rich Interactive Domain 1B (SWI1-Like) (ARID1B))

Reaktivität

  • 37
  • 18
  • 13
  • 2
  • 1
  • 1
  • 1
Maus

Wirt

  • 45
  • 6
Kaninchen

Klonalität

  • 44
  • 7
Polyklonal

Konjugat

  • 20
  • 3
  • 2
  • 2
  • 2
  • 2
  • 2
  • 2
  • 2
  • 1
  • 1
  • 1
  • 1
  • 1
  • 1
  • 1
  • 1
  • 1
  • 1
  • 1
  • 1
  • 1
  • 1
Dieser ARID1B Antikörper ist unkonjugiert

Applikation

  • 33
  • 16
  • 12
  • 12
  • 12
  • 11
  • 8
  • 5
  • 3
  • 3
  • 2
  • 2
Western Blotting (WB), ELISA, Immunohistochemistry (Paraffin-embedded Sections) (IHC (p)), Immunofluorescence (Cultured Cells) (IF (cc)), Immunofluorescence (Paraffin-embedded Sections) (IF (p)), Immunocytochemistry (ICC), Immunohistochemistry (Frozen Sections) (IHC (fro))
  • Bindungsspezifität

    • 14
    • 4
    • 4
    • 3
    • 2
    • 2
    • 1
    • 1
    • 1
    • 1
    • 1
    • 1
    AA 1501-1600

    Kreuzreaktivität

    Maus

    Homologie

    Human,Rat,Dog,Cow,Sheep,Chicken

    Aufreinigung

    Purified by Protein A.

    Immunogen

    KLH conjugated synthetic peptide derived from human ARID1B

    Isotyp

    IgG
  • Applikationshinweise

    WB 1:300-5000
    ELISA 1:500-1000
    IHC-P 1:200-400
    IHC-F 1:100-500
    IF(IHC-P) 1:50-200
    IF(IHC-F) 1:50-200
    IF(ICC) 1:50-200
    ICC 1:100-500

    Beschränkungen

    Nur für Forschungszwecke einsetzbar
  • Format

    Liquid

    Konzentration

    1 μg/μL

    Buffer

    0.01M TBS( pH 7.4) with 1 % BSA, 0.02 % Proclin300 and 50 % Glycerol.

    Konservierungsmittel

    ProClin

    Vorsichtsmaßnahmen

    This product contains ProClin: a POISONOUS AND HAZARDOUS SUBSTANCE, which should be handled by trained staff only.

    Lagerung

    4 °C,-20 °C

    Informationen zur Lagerung

    Shipped at 4°C. Store at -20°C for one year. Avoid repeated freeze/thaw cycles.

    Haltbarkeit

    12 months
  • Target

    ARID1B (AT Rich Interactive Domain 1B (SWI1-Like) (ARID1B))

    Andere Bezeichnung

    ARID1B

    Hintergrund

    Synonyms: OSA2, 6A3-5, DAN15, MRD12, P250R, BRIGHT, BAF250B, ELD/OSA1, AT-rich interactive domain-containing protein 1B, ARID domain-containing protein 1B, BRG1-associated factor 250b, BRG1-binding protein hELD/OSA1, Osa homolog 2, hOsa2, ARID1B, KIAA1235

    Background: Involved in transcriptional activation and repression of select genes by chromatin remodeling (alteration of DNA-nucleosome topology). Belongs to the neural progenitors-specific chromatin remodeling complex (npBAF complex) and the neuron-specific chromatin remodeling complex (nBAF complex). During neural development a switch from a stem/progenitor to a post-mitotic chromatin remodeling mechanism occurs as neurons exit the cell cycle and become committed to their adult state. The transition from proliferating neural stem/progenitor cells to post-mitotic neurons requires a switch in subunit composition of the npBAF and nBAF complexes. As neural progenitors exit mitosis and differentiate into neurons, npBAF complexes which contain ACTL6A/BAF53A and PHF10/BAF45A, are exchanged for homologous alternative ACTL6B/BAF53B and DPF1/BAF45B or DPF3/BAF45C subunits in neuron-specific complexes (nBAF). The npBAF complex is essential for the self-renewal/proliferative capacity of the multipotent neural stem cells. The nBAF complex along with CREST plays a role regulating the activity of genes essential for dendrite growth (By similarity). Binds DNA non-specifically.

    Gen-ID

    57492

    UniProt

    Q8NFD5
Sie sind hier:
Chat with us!