Telefon:
+49 (0)241 95 163 153
Fax:
+49 (0)241 95 163 155
E-Mail:
orders@antikoerper-online.de

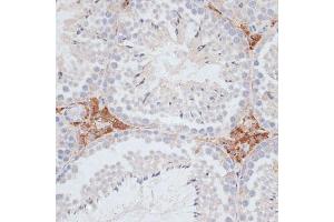
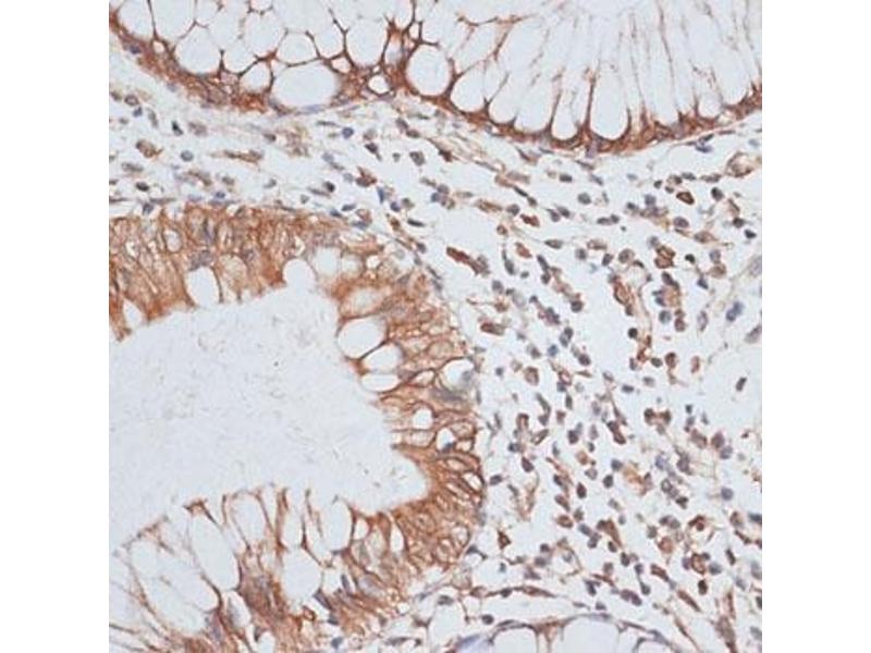
KIFC1 Antikörper (AA 1-250)

Dieser Kaninchen Polyklonal Antikörper detektiert spezifisch KIFC1 in WB, IF und IHC. Es zeigt Reaktivität gegenüber Proben von Human.Es wurde in 1 Publikation zitiert.
Produktnummer ABIN1680592
320,00 €
Zzgl. Versandkosten 20,00 € und MwSt
Lieferung nach: Deutschland
Lieferung in 7 bis 9 Werktagen

Kurzübersicht für KIFC1 Antikörper (AA 1-250) (ABIN1680592)

Target

Alle KIFC1 Antikörper anzeigen
KIFC1 (Kinesin Family Member C1 (KIFC1))

Reaktivität

  • 52
  • 18
  • 18
  • 13
  • 13
  • 1
  • 1
Human

Wirt

  • 51
  • 1
Kaninchen

Klonalität

  • 28
  • 24
Polyklonal

Konjugat

  • 18
  • 4
  • 3
  • 2
  • 2
  • 2
  • 2
  • 2
  • 2
  • 2
  • 2
  • 2
  • 1
  • 1
  • 1
  • 1
  • 1
  • 1
  • 1
  • 1
  • 1
Dieser KIFC1 Antikörper ist unkonjugiert

Applikation

  • 34
  • 30
  • 28
  • 16
  • 13
  • 11
  • 8
  • 7
  • 2
  • 2
Western Blotting (WB), Immunofluorescence (IF), Immunohistochemistry (IHC)
  • Bindungsspezifität

    • 5
    • 3
    • 2
    • 1
    • 1
    • 1
    AA 1-250

    Sequenz

    MDPQRSPLLE VKGNIELKRP LIKAPSQLPL SGSRLKRRPD QMEDGLEPEK KRTRGLGATT KITTSHPRVP SLTTVPQTQG QTTAQKVSKK TGPRCSTAIA TGLKNQKPVP AVPVQKSGTS GVPPMAGGKK PSKRPAWDLK GQLCDLNAEL KRCRERTQTL DQENQQLQDQ LRDAQQQVKA LGTERTTLEG HLAKVQAQAE QGQQELKNLR ACVLELEERL STQEGLVQEL QKKQVELQEE RRGLMSQLEE

    Kreuzreaktivität

    Human, Maus, Ratte

    Produktmerkmale

    Polyclonal Antibodies

    Immunogen

    Recombinant fusion protein containing a sequence corresponding to amino acids 1-250 of human KIFC1 (NP_002254.2).

    Isotyp

    IgG
  • Applikationshinweise

    WB,1:500 - 1:2000,IHC,1:50 - 1:100,IF,1:50 - 1:100

    Beschränkungen

    Nur für Forschungszwecke einsetzbar
  • Buffer

    PBS with 0.02 % sodium azide,50 % glycerol, pH 7.3.

    Konservierungsmittel

    Sodium azide

    Vorsichtsmaßnahmen

    This product contains Sodium azide: a POISONOUS AND HAZARDOUS SUBSTANCE which should be handled by trained staff only.

    Lagerung

    -20 °C

    Informationen zur Lagerung

    Store at -20°C. Avoid freeze / thaw cycles.
  • Fu, Zhu, Zheng, Zou, Wang, Wu, Wang, Chen, Du, Liang, Fang: "KIFC1, a novel potential prognostic factor and therapeutic target in hepatocellular carcinoma." in: International journal of oncology, Vol. 52, Issue 6, pp. 1912-1922, (2018) (PubMed).

  • Target

    KIFC1 (Kinesin Family Member C1 (KIFC1))

    Andere Bezeichnung

    KIFC1

    Hintergrund

    Minus end-directed microtubule-dependent motor required for bipolar spindle formation. May contribute to movement of early endocytic vesicles (By similarity. Regulates cilium formation and structure (By similarity.,KIFC1,HSET,KNSL2,Signal Transduction,Cell Biology & Developmental Biology,Cell Cycle,Cytoskeleton,Motor Proteins,KIFC1

    Molekulargewicht

    73 kDa

    Gen-ID

    3833

    UniProt

    Q9BW19
Sie sind hier:
Chat with us!