Telefon:
+49 (0)241 95 163 153
Fax:
+49 (0)241 95 163 155
E-Mail:
orders@antikoerper-online.de

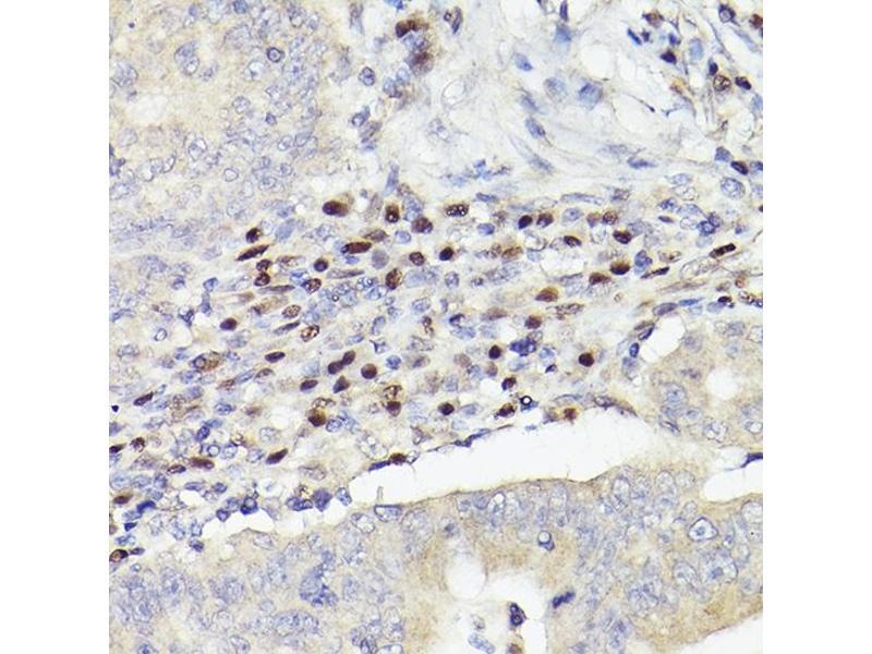
MEF2A+MEF2C Antikörper

Der Kaninchen Monoklonal anti-MEF2A+MEF2C Antikörper (ABIN1679050) detektiert spezifisch MEF2A+MEF2C in WB und IHC. Dieser Antikörper reagiert spezifisch mit Proben aus Human.
Produktnummer ABIN1679050
330,00 €
Zzgl. Versandkosten 20,00 € und MwSt
Lieferung nach: Deutschland
Lieferung in 7 bis 9 Werktagen

Kurzübersicht für MEF2A+MEF2C Antikörper (ABIN1679050)

Target

MEF2A+MEF2C

Reaktivität

  • 11
  • 10
  • 10
Human

Wirt

  • 11
Kaninchen

Klonalität

  • 11
Monoklonal

Konjugat

  • 2
  • 1
  • 1
  • 1
  • 1
  • 1
  • 1
  • 1
  • 1
  • 1
Unkonjugiert

Applikation

  • 11
  • 10
  • 10
  • 9
  • 9
Western Blotting (WB), Immunohistochemistry (IHC)
  • Kreuzreaktivität

    Human, Maus

    Produktmerkmale

    Monoclonal Antibodies

    Aufreinigung

    Affinity purification

    Immunogen

    A synthesized peptide derived from human MEF2A+MEF2C.

    Isotyp

    IgG
  • Applikationshinweise

    WB,1:500 - 1:2000,IHC,1:50 - 1:200

    Beschränkungen

    Nur für Forschungszwecke einsetzbar
  • Buffer

    PBS with 0.02 % sodium azide,0.05 % BSA,50 % glycerol, pH 7.3.

    Konservierungsmittel

    Sodium azide

    Vorsichtsmaßnahmen

    This product contains Sodium azide: a POISONOUS AND HAZARDOUS SUBSTANCE which should be handled by trained staff only.

    Lagerung

    -20 °C

    Informationen zur Lagerung

    Store at -20°C. Avoid freeze / thaw cycles.
  • Target

    MEF2A+MEF2C

    Hintergrund

    MEF2A+MEF2C

    Molekulargewicht

    51 kDa

    Gen-ID

    4208, 4205

    UniProt

    Q06413, Q02078
Sie sind hier:
Chat with us!