Telefon:
+49 (0)241 95 163 153
Fax:
+49 (0)241 95 163 155
E-Mail:
orders@antikoerper-online.de

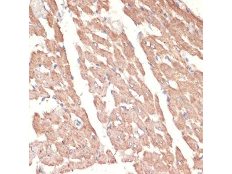
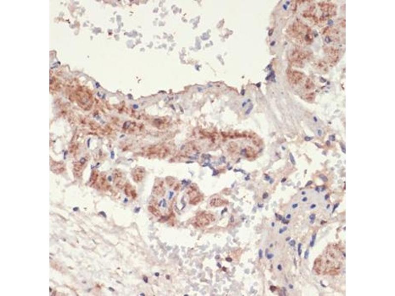
alpha 1 Adrenergic Receptor Antikörper (AA 346-475)

Dieser Kaninchen Polyklonal Antikörper detektiert spezifisch alpha 1 Adrenergic Receptor in WB, IF und IHC. Es zeigt Reaktivität gegenüber Proben von Human.
Produktnummer ABIN1678588
320,00 €
Zzgl. Versandkosten 20,00 € und MwSt
Lieferung nach: Deutschland
Lieferung in 7 bis 9 Werktagen

Kurzübersicht für alpha 1 Adrenergic Receptor Antikörper (AA 346-475) (ABIN1678588)

Target

Alle alpha 1 Adrenergic Receptor (ADRA1A) Antikörper anzeigen
alpha 1 Adrenergic Receptor (ADRA1A) (Adrenoceptor alpha 1A (ADRA1A))

Reaktivität

  • 66
  • 42
  • 42
  • 4
  • 4
  • 3
  • 3
  • 3
  • 3
  • 2
  • 2
  • 1
  • 1
Human

Wirt

  • 60
  • 3
  • 2
  • 1
Kaninchen

Klonalität

  • 51
  • 15
Polyklonal

Konjugat

  • 34
  • 3
  • 3
  • 3
  • 2
  • 2
  • 2
  • 2
  • 2
  • 2
  • 1
  • 1
  • 1
  • 1
  • 1
  • 1
  • 1
  • 1
  • 1
  • 1
  • 1
Dieser alpha 1 Adrenergic Receptor Antikörper ist unkonjugiert

Applikation

  • 51
  • 24
  • 21
  • 18
  • 14
  • 12
  • 12
  • 11
  • 7
  • 3
  • 3
  • 2
  • 2
  • 1
Western Blotting (WB), Immunofluorescence (IF), Immunohistochemistry (IHC)
  • Bindungsspezifität

    • 12
    • 5
    • 4
    • 2
    • 2
    • 2
    • 2
    • 2
    • 2
    • 1
    • 1
    • 1
    • 1
    • 1
    • 1
    • 1
    • 1
    • 1
    • 1
    • 1
    • 1
    • 1
    • 1
    AA 346-475

    Sequenz

    LCRKQSSKHA LGYTLHPPSQ AVEGQHKDMV RIPVGSRETF YRISKTDGVC EWKFFSSMPR GSARITVSKD QSSCTTARTK SRSVTRLECS GMILAHCNLR LPGSRDSPAS ASQAAGTTGM CHQADATRPS

    Kreuzreaktivität

    Human, Maus, Ratte

    Produktmerkmale

    Polyclonal Antibodies

    Aufreinigung

    Affinity purification

    Immunogen

    Recombinant fusion protein containing a sequence corresponding to amino acids 346-475 of human ADRA1A (NP_150646.3).

    Isotyp

    IgG
  • Applikationshinweise

    WB,1:500 - 1:2000,IHC,1:50 - 1:100,IF,1:50 - 1:200

    Beschränkungen

    Nur für Forschungszwecke einsetzbar
  • Buffer

    PBS with 0.02 % sodium azide,50 % glycerol, pH 7.3.

    Konservierungsmittel

    Sodium azide

    Vorsichtsmaßnahmen

    This product contains Sodium azide: a POISONOUS AND HAZARDOUS SUBSTANCE which should be handled by trained staff only.

    Lagerung

    -20 °C

    Informationen zur Lagerung

    Store at -20°C. Avoid freeze / thaw cycles.
  • Target

    alpha 1 Adrenergic Receptor (ADRA1A) (Adrenoceptor alpha 1A (ADRA1A))

    Andere Bezeichnung

    ADRA1A

    Hintergrund

    Alpha-1-adrenergic receptors (alpha-1-ARs) are members of the G protein-coupled receptor superfamily. They activate mitogenic responses and regulate growth and proliferation of many cells. There are 3 alpha-1-AR subtypes: alpha-1A, -1B and -1D, all of which signal through the Gq/11 family of G-proteins and different subtypes show different patterns of activation. This gene encodes alpha-1A-adrenergic receptor. Alternative splicing of this gene generates four transcript variants, which encode four different isoforms with distinct C-termini but having similar ligand binding properties.,ADRA1A,ADRA1C,ADRA1L1,ALPHA1AAR,Signal Transduction,G protein signaling,G-Protein-Coupled Receptors(GPCR),Cell Biology & Developmental Biology,Apoptosis,Endocrine & Metabolism,AMPK Signaling Pathway,Neuroscience,ADRA1A

    Molekulargewicht

    32-52 kDa

    Gen-ID

    148

    UniProt

    P35348

    Pathways

    AMPK Signaling
Sie sind hier:
Chat with us!