Telefon:
+49 (0)241 95 163 153
Fax:
+49 (0)241 95 163 155
E-Mail:
orders@antikoerper-online.de

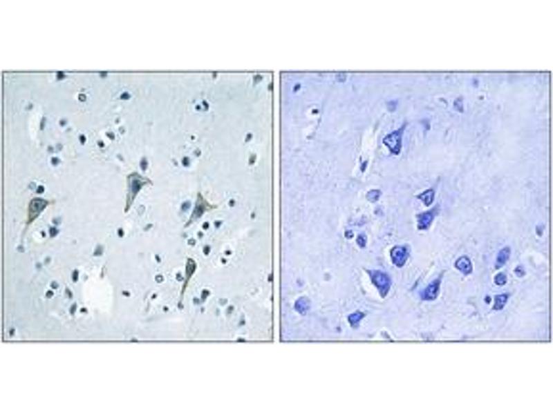
GPR85 Antikörper (AA 181-230)

Dieser Kaninchen Polyklonal Antikörper detektiert spezifisch GPR85 in ELISA, IHC und IF. Es zeigt Reaktivität gegenüber Proben von Human, Maus und Ratte.
Produktnummer ABIN1535751
402,00 €
Zzgl. Versandkosten 20,00 € und MwSt
Lieferung nach: Deutschland
Lieferung in 6 bis 9 Werktagen

Kurzübersicht für GPR85 Antikörper (AA 181-230) (ABIN1535751)

Target

Alle GPR85 Antikörper anzeigen
GPR85 (G Protein-Coupled Receptor 85 (GPR85))

Reaktivität

  • 34
  • 10
  • 10
  • 4
  • 3
  • 3
  • 3
  • 3
  • 3
  • 3
  • 2
  • 2
  • 2
  • 2
  • 1
Human, Maus, Ratte

Wirt

  • 34
Kaninchen

Klonalität

  • 34
Polyklonal

Konjugat

  • 15
  • 3
  • 2
  • 2
  • 1
  • 1
  • 1
  • 1
  • 1
  • 1
  • 1
  • 1
  • 1
  • 1
  • 1
  • 1
Dieser GPR85 Antikörper ist unkonjugiert

Applikation

  • 13
  • 13
  • 11
  • 10
  • 7
  • 4
  • 3
  • 3
  • 3
  • 1
  • 1
ELISA, Immunohistochemistry (IHC), Immunofluorescence (IF)
  • Bindungsspezifität

    • 15
    • 5
    • 4
    • 2
    • 1
    • 1
    • 1
    • 1
    • 1
    • 1
    • 1
    AA 181-230

    Spezifität

    GPR85 Antibody detects endogenous levels of total GPR85 protein.

    Aufreinigung

    The antibody was purified from rabbit antiserum by affinity-chromatography using immunogen.

    Reinheit

    > 95 %

    Immunogen

    The antiserum was produced against synthesized peptide derived from human GPR85.

    Isotyp

    IgG
  • Applikationshinweise

    IHC: 1:50~1:100 IF: 1:100~1:500 ELISA: 1:10000

    Kommentare

    Unigene-Number: Hs.152009 (NCBI Gene Symbol: GPR85)

    Beschränkungen

    Nur für Forschungszwecke einsetzbar
  • Format

    Liquid

    Konzentration

    1 mg/mL

    Buffer

    phosphate buffered saline (without Mg2+ and Ca2+), pH 7.4, 150 mM NaCl, 0.02 % sodium azide and 50 % glycerol.

    Konservierungsmittel

    Sodium azide

    Vorsichtsmaßnahmen

    This product contains sodium azide: a POISONOUS AND HAZARDOUS SUBSTANCE which should be handled by trained staff only.

    Lagerung

    -20 °C

    Informationen zur Lagerung

    Stable at -20°C for at least 1 year.

    Haltbarkeit

    12 months
  • Target

    GPR85 (G Protein-Coupled Receptor 85 (GPR85))

    Andere Bezeichnung

    GPR85

    Hintergrund

    Synonyms: Probable G-protein coupled receptor 85, Super conserved receptor expressed in brain 2, GPR85, SREB2

    NCBI Gene Symbol: GPR85

    Molekulargewicht

    41 kDa

    Gen-ID

    54329

    OMIM

    605188

    UniProt

    P60893
Sie sind hier:
Chat with us!