Telefon:
+49 (0)241 95 163 153
Fax:
+49 (0)241 95 163 155
E-Mail:
orders@antikoerper-online.de

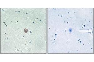
S1PR5 Antikörper (AA 335-384)

Der Kaninchen Polyklonal anti-S1PR5 Antikörper (ABIN1535594) detektiert spezifisch S1PR5 in ELISA, IHC und IF. Dieser Antikörper reagiert spezifisch mit Proben aus Human.
Produktnummer ABIN1535594
402,00 €
Zzgl. Versandkosten 20,00 € und MwSt
Lieferung nach: Deutschland
Lieferung in 6 bis 9 Werktagen

Kurzübersicht für S1PR5 Antikörper (AA 335-384) (ABIN1535594)

Target

Alle S1PR5 Antikörper anzeigen
S1PR5 (Sphingosine-1-Phosphate Receptor 5 (S1PR5))

Reaktivität

  • 41
  • 38
  • 37
  • 8
  • 4
  • 4
  • 3
  • 2
  • 2
  • 1
  • 1
  • 1
Human

Wirt

  • 72
  • 1
  • 1
Kaninchen

Klonalität

  • 73
  • 1
Polyklonal

Konjugat

  • 27
  • 6
  • 5
  • 4
  • 2
  • 2
  • 2
  • 2
  • 2
  • 2
  • 2
  • 2
  • 2
  • 2
  • 2
  • 2
  • 2
  • 1
  • 1
  • 1
  • 1
  • 1
  • 1
Dieser S1PR5 Antikörper ist unkonjugiert

Applikation

  • 41
  • 30
  • 26
  • 26
  • 14
  • 10
  • 6
  • 3
  • 3
  • 2
  • 1
  • 1
ELISA, Immunohistochemistry (IHC), Immunofluorescence (IF)
  • Bindungsspezifität

    • 15
    • 15
    • 8
    • 6
    • 6
    • 3
    • 2
    • 2
    • 1
    • 1
    • 1
    • 1
    • 1
    • 1
    • 1
    • 1
    • 1
    AA 335-384

    Spezifität

    EDG8 Antibody detects endogenous levels of total EDG8 protein.

    Aufreinigung

    The antibody was purified from rabbit antiserum by affinity-chromatography using immunogen.

    Reinheit

    > 95 %

    Immunogen

    The antiserum was produced against synthesized peptide derived from human EDG8.

    Isotyp

    IgG
  • Applikationshinweise

    IHC: 1:50~1:100 IF: 1:100~1:500 ELISA: 1:5000

    Kommentare

    Unigene-Number: Hs.501561 (NCBI Gene Symbol: S1PR5)

    Beschränkungen

    Nur für Forschungszwecke einsetzbar
  • Format

    Liquid

    Konzentration

    1 mg/mL

    Buffer

    phosphate buffered saline (without Mg2+ and Ca2+), pH 7.4, 150 mM NaCl, 0.02 % sodium azide and 50 % glycerol.

    Konservierungsmittel

    Sodium azide

    Vorsichtsmaßnahmen

    This product contains sodium azide: a POISONOUS AND HAZARDOUS SUBSTANCE which should be handled by trained staff only.

    Lagerung

    -20 °C

    Informationen zur Lagerung

    Stable at -20°C for at least 1 year.

    Haltbarkeit

    12 months
  • Target

    S1PR5 (Sphingosine-1-Phosphate Receptor 5 (S1PR5))

    Andere Bezeichnung

    EDG8

    Hintergrund

    Synonyms: Sphingosine 1-phosphate receptor Edg-8, Endothelial differentiation sphingolipid G-protein-coupled receptor 8, Sphingosine 1-phosphate receptor 5, S1P5, EDG8

    NCBI Gene Symbol: S1PR5

    Molekulargewicht

    41 kDa

    Gen-ID

    53637

    OMIM

    605146

    UniProt

    Q9H228
Sie sind hier:
Chat with us!