Telefon:
+49 (0)241 95 163 153
Fax:
+49 (0)241 95 163 155
E-Mail:
orders@antikoerper-online.de

Histone H2B Antikörper (acLys12)

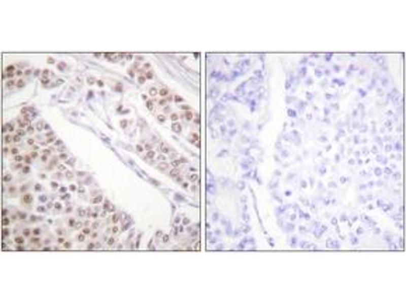
Dieser Anti-Histone H2B Antikörper ist ein Kaninchen Polyklonal Antikörper zur Detektion von Histone H2B in WB, ELISA, IHC und IF. Geeignet für Human und Maus.
Produktnummer ABIN486135

Kurzübersicht für Histone H2B Antikörper (acLys12) (ABIN486135)

Target

Alle Histone H2B Antikörper anzeigen
Histone H2B

Reaktivität

  • 262
  • 137
  • 130
  • 12
  • 10
  • 5
  • 5
  • 5
  • 5
  • 4
  • 3
  • 3
  • 2
  • 2
  • 1
Human, Maus

Wirt

  • 267
  • 22
  • 2
Kaninchen

Klonalität

  • 212
  • 79
Polyklonal

Konjugat

  • 169
  • 17
  • 9
  • 9
  • 9
  • 9
  • 9
  • 9
  • 8
  • 7
  • 5
  • 5
  • 2
  • 2
  • 2
  • 2
  • 2
  • 2
  • 2
  • 2
  • 2
  • 2
  • 2
  • 2
  • 2
Dieser Histone H2B Antikörper ist unkonjugiert

Applikation

  • 217
  • 102
  • 99
  • 71
  • 61
  • 34
  • 29
  • 27
  • 26
  • 25
  • 18
  • 7
  • 6
  • 6
  • 6
  • 2
  • 2
  • 1
  • 1
Western Blotting (WB), ELISA, Immunohistochemistry (IHC), Immunofluorescence (IF)
  • Bindungsspezifität

    • 23
    • 15
    • 12
    • 12
    • 11
    • 10
    • 10
    • 10
    • 9
    • 9
    • 9
    • 9
    • 9
    • 9
    • 7
    • 5
    • 5
    • 4
    • 4
    • 3
    • 3
    • 3
    • 3
    • 3
    • 3
    • 3
    • 3
    • 2
    • 2
    • 2
    • 2
    • 2
    • 2
    • 2
    • 2
    • 2
    • 2
    • 2
    • 2
    • 2
    • 2
    • 2
    • 2
    • 1
    • 1
    • 1
    • 1
    • 1
    • 1
    • 1
    AA 10-59, acLys12

    Spezifität

    Histone H2B (Acetyl-Lys12) Antibody detects endogenous levels of total Histone H2B protein only when acetylated at Lys12.

    AcetylationH:K12 M:K12

    Aufreinigung

    The antibody was purified from rabbit antiserum by affinity-chromatography using acetylated peptide. The antibody against non-acetylated peptide was removed by chromatography using corresponding non-acetylated peptide.

    Reinheit

    > 95 %

    Immunogen

    The antiserum was produced against synthesized peptide derived from human Histone H2B around the acetylated site of Lys12.

    Isotyp

    IgG
  • Applikationshinweise

    WB: 1:500~1:1000 IHC: 1:50~1:100 IF: 1:100~1:500 ELISA: 1:1000

    Kommentare

    Unigene-Number: Hs.473961 (NCBI Gene Symbol: H2BFS)

    Beschränkungen

    Nur für Forschungszwecke einsetzbar
  • Format

    Liquid

    Konzentration

    1 mg/mL

    Buffer

    phosphate buffered saline (without Mg2+ and Ca2+), pH 7.4, 150 mM NaCl, 0.02 % sodium azide and 50 % glycerol.

    Konservierungsmittel

    Sodium azide

    Vorsichtsmaßnahmen

    This product contains sodium azide: a POISONOUS AND HAZARDOUS SUBSTANCE which should be handled by trained staff only.

    Lagerung

    -20 °C

    Informationen zur Lagerung

    Stable at -20°C for at least 1 year.

    Haltbarkeit

    12 months
  • Target

    Histone H2B

    Hintergrund

    Synonyms: Histone cluster 1, H2bb,H2B.1, H2B/f, H2BFF, H2B histone family, member F,histone 1, H2bb

    NCBI Gene Symbol: H2BFS

    Molekulargewicht

    13 kDa

    Gen-ID

    54145

    UniProt

    P57053
Sie sind hier:
Chat with us!