Telefon:
+49 (0)241 95 163 153
Fax:
+49 (0)241 95 163 155
E-Mail:
orders@antikoerper-online.de

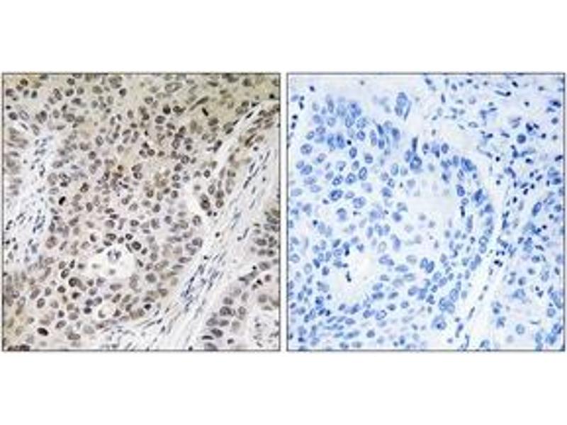
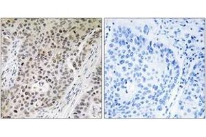
ZNF608 Antikörper (AA 1231-1280)

Dieser Kaninchen Polyklonal Antikörper detektiert spezifisch ZNF608 in IHC und ELISA. Es zeigt Reaktivität gegenüber Proben von Human und Maus.
Produktnummer ABIN1535481
402,00 €
Zzgl. Versandkosten 20,00 € und MwSt
Lieferung nach: Deutschland
Lieferung in 6 bis 9 Werktagen

Kurzübersicht für ZNF608 Antikörper (AA 1231-1280) (ABIN1535481)

Target

ZNF608 (Zinc Finger Protein 608 (ZNF608))

Reaktivität

  • 7
  • 4
  • 2
  • 2
  • 2
  • 2
  • 2
  • 1
  • 1
Human, Maus

Wirt

  • 6
  • 1
Kaninchen

Klonalität

  • 7
Polyklonal

Konjugat

  • 7
Dieser ZNF608 Antikörper ist unkonjugiert

Applikation

  • 7
  • 3
  • 3
  • 1
Immunohistochemistry (IHC), ELISA
  • Bindungsspezifität

    • 2
    • 2
    • 1
    • 1
    • 1
    AA 1231-1280

    Spezifität

    ZNF608 Antibody detects endogenous levels of total ZNF608 protein.

    Aufreinigung

    The antibody was purified from rabbit antiserum by affinity-chromatography using immunogen.

    Reinheit

    > 95 %

    Immunogen

    The antiserum was produced against synthesized peptide derived from human ZNF608.

    Isotyp

    IgG
  • Applikationshinweise

    IHC: 1:50~1:100 ELISA: 1:5000

    Kommentare

    Unigene-Number: Hs.266616 (NCBI Gene Symbol: ZNF608)

    Beschränkungen

    Nur für Forschungszwecke einsetzbar
  • Format

    Liquid

    Konzentration

    1 mg/mL

    Buffer

    phosphate buffered saline (without Mg2+ and Ca2+), pH 7.4, 150 mM NaCl, 0.02 % sodium azide and 50 % glycerol.

    Konservierungsmittel

    Sodium azide

    Vorsichtsmaßnahmen

    This product contains sodium azide: a POISONOUS AND HAZARDOUS SUBSTANCE which should be handled by trained staff only.

    Lagerung

    -20 °C

    Informationen zur Lagerung

    Stable at -20°C for at least 1 year.

    Haltbarkeit

    12 months
  • Target

    ZNF608 (Zinc Finger Protein 608 (ZNF608))

    Andere Bezeichnung

    ZNF608

    Hintergrund

    Synonyms: Zinc finger protein 608, Renal carcinoma antigen NY-REN-36, ZNF608, KIAA1281,

    NCBI Gene Symbol: ZNF608

    Molekulargewicht

    162 kDa

    Gen-ID

    57507

    UniProt

    Q9ULD9
Sie sind hier:
Chat with us!