Telefon:
+49 (0)241 95 163 153
Fax:
+49 (0)241 95 163 155
E-Mail:
orders@antikoerper-online.de

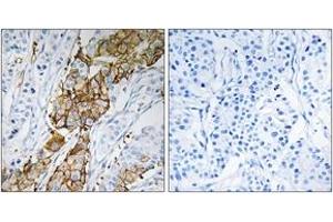
USP32 Antikörper (AA 271-320)

Der Kaninchen Polyklonal anti-USP32 Antikörper (ABIN1535435) detektiert spezifisch USP32 in IHC und ELISA. Dieser Antikörper reagiert spezifisch mit Proben aus Human und Maus.
Produktnummer ABIN1535435
402,00 €
Zzgl. Versandkosten 20,00 € und MwSt
Lieferung nach: Deutschland
Lieferung in 6 bis 9 Werktagen

Kurzübersicht für USP32 Antikörper (AA 271-320) (ABIN1535435)

Target

USP32 (Ubiquitin Specific Peptidase 32 (USP32))

Reaktivität

  • 14
  • 4
  • 1
  • 1
  • 1
Human, Maus

Wirt

  • 14
Kaninchen

Klonalität

  • 14
Polyklonal

Konjugat

  • 7
  • 1
  • 1
  • 1
  • 1
  • 1
  • 1
  • 1
Dieser USP32 Antikörper ist unkonjugiert

Applikation

  • 5
  • 5
  • 4
  • 1
Immunohistochemistry (IHC), ELISA
  • Bindungsspezifität

    • 1
    • 1
    • 1
    • 1
    AA 271-320

    Spezifität

    USP32 Antibody detects endogenous levels of total USP32 protein.

    Aufreinigung

    The antibody was purified from rabbit antiserum by affinity-chromatography using immunogen.

    Reinheit

    > 95 %

    Immunogen

    The antiserum was produced against synthesized peptide derived from human USP32.

    Isotyp

    IgG
  • Applikationshinweise

    IHC: 1:50~1:100 ELISA: 1:40000

    Kommentare

    Unigene-Number: Hs.132868 (NCBI Gene Symbol: USP32)

    Beschränkungen

    Nur für Forschungszwecke einsetzbar
  • Format

    Liquid

    Konzentration

    1 mg/mL

    Buffer

    phosphate buffered saline (without Mg2+ and Ca2+), pH 7.4, 150 mM NaCl, 0.02 % sodium azide and 50 % glycerol.

    Konservierungsmittel

    Sodium azide

    Vorsichtsmaßnahmen

    This product contains sodium azide: a POISONOUS AND HAZARDOUS SUBSTANCE which should be handled by trained staff only.

    Lagerung

    -20 °C

    Informationen zur Lagerung

    Stable at -20°C for at least 1 year.

    Haltbarkeit

    12 months
  • Target

    USP32 (Ubiquitin Specific Peptidase 32 (USP32))

    Andere Bezeichnung

    USP32

    Hintergrund

    Synonyms: Ubiquitin carboxyl-terminal hydrolase 32, Ubiquitin thioesterase 32, Ubiquitin-specific-processing protease 32, Deubiquitinating enzyme 32, Renal carcinoma antigen NY-REN-60, USP32, USP10,

    NCBI Gene Symbol: USP32

    Molekulargewicht

    181 kDa

    Gen-ID

    84669

    OMIM

    607740

    UniProt

    Q8NFA0
Sie sind hier:
Chat with us!