Telefon:
+49 (0)241 95 163 153
Fax:
+49 (0)241 95 163 155
E-Mail:
orders@antikoerper-online.de

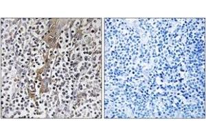
TMC8 Antikörper (AA 601-650)

Der Kaninchen Polyklonal anti-TMC8 Antikörper (ABIN1535426) detektiert spezifisch TMC8 in ELISA und IHC. Dieser Antikörper reagiert spezifisch mit Proben aus Human, Maus und Ratte.
Produktnummer ABIN1535426
402,00 €
Zzgl. Versandkosten 20,00 € und MwSt
Lieferung nach: Deutschland
Lieferung in 6 bis 9 Werktagen

Kurzübersicht für TMC8 Antikörper (AA 601-650) (ABIN1535426)

Target

Alle TMC8 Antikörper anzeigen
TMC8 (Transmembrane Channel-Like 8 (TMC8))

Reaktivität

Human, Maus, Ratte

Wirt

  • 32
Kaninchen

Klonalität

  • 32
Polyklonal

Konjugat

  • 13
  • 2
  • 2
  • 2
  • 1
  • 1
  • 1
  • 1
  • 1
  • 1
  • 1
  • 1
  • 1
  • 1
  • 1
  • 1
  • 1
Dieser TMC8 Antikörper ist unkonjugiert

Applikation

  • 32
  • 15
  • 13
  • 13
  • 6
  • 3
  • 3
  • 3
  • 2
  • 2
ELISA, Immunohistochemistry (IHC)
  • Bindungsspezifität

    • 15
    • 7
    • 3
    • 2
    • 2
    • 1
    • 1
    • 1
    • 1
    AA 601-650

    Spezifität

    TMC8 Antibody detects endogenous levels of total TMC8 protein.

    Aufreinigung

    The antibody was purified from rabbit antiserum by affinity-chromatography using immunogen.

    Reinheit

    > 95 %

    Immunogen

    The antiserum was produced against synthesized peptide derived from human TMC8.

    Isotyp

    IgG
  • Applikationshinweise

    IHC: 1:50~1:100 ELISA: 1:5000

    Kommentare

    Unigene-Number: Hs.592102 (NCBI Gene Symbol: TMC8)

    Beschränkungen

    Nur für Forschungszwecke einsetzbar
  • Format

    Liquid

    Konzentration

    1 mg/mL

    Buffer

    phosphate buffered saline (without Mg2+ and Ca2+), pH 7.4, 150 mM NaCl, 0.02 % sodium azide and 50 % glycerol.

    Konservierungsmittel

    Sodium azide

    Vorsichtsmaßnahmen

    This product contains sodium azide: a POISONOUS AND HAZARDOUS SUBSTANCE which should be handled by trained staff only.

    Lagerung

    -20 °C

    Informationen zur Lagerung

    Stable at -20°C for at least 1 year.

    Haltbarkeit

    12 months
  • Target

    TMC8 (Transmembrane Channel-Like 8 (TMC8))

    Andere Bezeichnung

    TMC8

    Hintergrund

    Synonyms: Transmembrane channel-like protein 8, Epidermodysplasia verruciformis protein 2, TMC8, EVER2, EVIN2,

    NCBI Gene Symbol: TMC8

    Molekulargewicht

    81 kDa

    Gen-ID

    147138

    OMIM

    226400

    UniProt

    Q8IU68
Sie sind hier:
Chat with us!