Telefon:
+49 (0)241 95 163 153
Fax:
+49 (0)241 95 163 155
E-Mail:
orders@antikoerper-online.de

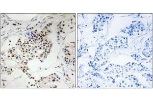
SGOL2 Antikörper (AA 681-730)

Der Kaninchen Polyklonal anti-SGOL2 Antikörper wird verwendet zum Nachweis von SGOL2 in Proben von Human. Er wurde validiert für ELISA und IHC.
Produktnummer ABIN1535371
402,00 €
Zzgl. Versandkosten 20,00 € und MwSt
Lieferung nach: Deutschland
Lieferung in 6 bis 9 Werktagen

Kurzübersicht für SGOL2 Antikörper (AA 681-730) (ABIN1535371)

Target

Alle SGOL2 Antikörper anzeigen
SGOL2 (Shugoshin-Like 2 (SGOL2))

Reaktivität

  • 14
  • 1
Human

Wirt

  • 14
Kaninchen

Klonalität

  • 14
Polyklonal

Konjugat

  • 9
  • 1
  • 1
  • 1
  • 1
  • 1
Dieser SGOL2 Antikörper ist unkonjugiert

Applikation

  • 10
  • 9
  • 3
  • 1
  • 1
  • 1
  • 1
  • 1
ELISA, Immunohistochemistry (IHC)
  • Bindungsspezifität

    • 7
    • 2
    • 1
    • 1
    • 1
    • 1
    AA 681-730

    Spezifität

    SGOL2 Antibody detects endogenous levels of total SGOL2 protein.

    Aufreinigung

    The antibody was purified from rabbit antiserum by affinity-chromatography using immunogen.

    Reinheit

    > 95 %

    Immunogen

    The antiserum was produced against synthesized peptide derived from human SGOL2.

    Isotyp

    IgG
  • Applikationshinweise

    IHC: 1:50~1:100 ELISA: 1:10000

    Kommentare

    Unigene-Number: Hs.655182 (NCBI Gene Symbol: SGOL2)

    Beschränkungen

    Nur für Forschungszwecke einsetzbar
  • Format

    Liquid

    Konzentration

    1 mg/mL

    Buffer

    phosphate buffered saline (without Mg2+ and Ca2+), pH 7.4, 150 mM NaCl, 0.02 % sodium azide and 50 % glycerol.

    Konservierungsmittel

    Sodium azide

    Vorsichtsmaßnahmen

    This product contains sodium azide: a POISONOUS AND HAZARDOUS SUBSTANCE which should be handled by trained staff only.

    Lagerung

    -20 °C

    Informationen zur Lagerung

    Stable at -20°C for at least 1 year.

    Haltbarkeit

    12 months
  • Target

    SGOL2 (Shugoshin-Like 2 (SGOL2))

    Andere Bezeichnung

    SGOL2

    Hintergrund

    Synonyms: Shugoshin-like 2, Tripin, SGOL2

    NCBI Gene Symbol: SGOL2

    Molekulargewicht

    144 kDa

    Gen-ID

    151246

    OMIM

    612425

    UniProt

    Q562F6
Sie sind hier:
Chat with us!