Telefon:
+49 (0)241 95 163 153
Fax:
+49 (0)241 95 163 155
E-Mail:
orders@antikoerper-online.de

POTEA Antikörper (AA 375-424)

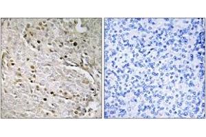
Dieser Kaninchen Polyklonal Antikörper detektiert spezifisch POTEA in IHC und ELISA. Es zeigt Reaktivität gegenüber Proben von Human.
Produktnummer ABIN1535211
402,00 €
Zzgl. Versandkosten 20,00 € und MwSt
Lieferung nach: Deutschland
Lieferung in 6 bis 9 Werktagen

Kurzübersicht für POTEA Antikörper (AA 375-424) (ABIN1535211)

Target

POTEA (POTE Ankyrin Domain Family, Member A (POTEA))

Reaktivität

  • 17
  • 9
  • 8
  • 1
Human

Wirt

  • 16
  • 1
Kaninchen

Klonalität

  • 17
Polyklonal

Konjugat

  • 10
  • 1
  • 1
  • 1
  • 1
  • 1
  • 1
  • 1
Dieser POTEA Antikörper ist unkonjugiert

Applikation

  • 6
  • 5
  • 5
  • 2
  • 1
Immunohistochemistry (IHC), ELISA
  • Bindungsspezifität

    • 3
    • 1
    • 1
    • 1
    • 1
    AA 375-424

    Spezifität

    POTE8 Antibody detects endogenous levels of total POTE8 protein.

    Aufreinigung

    The antibody was purified from rabbit antiserum by affinity-chromatography using immunogen.

    Reinheit

    > 95 %

    Immunogen

    The antiserum was produced against synthesized peptide derived from human POTEA.

    Isotyp

    IgG
  • Applikationshinweise

    IHC: 1:50~1:100 ELISA: 1:5000

    Kommentare

    Unigene-Number: Hs.531579 (NCBI Gene Symbol: POTEA)

    Beschränkungen

    Nur für Forschungszwecke einsetzbar
  • Format

    Liquid

    Konzentration

    1 mg/mL

    Buffer

    phosphate buffered saline (without Mg2+ and Ca2+), pH 7.4, 150 mM NaCl, 0.02 % sodium azide and 50 % glycerol.

    Konservierungsmittel

    Sodium azide

    Vorsichtsmaßnahmen

    This product contains sodium azide: a POISONOUS AND HAZARDOUS SUBSTANCE which should be handled by trained staff only.

    Lagerung

    -20 °C

    Informationen zur Lagerung

    Stable at -20°C for at least 1 year.

    Haltbarkeit

    12 months
  • Target

    POTEA (POTE Ankyrin Domain Family, Member A (POTEA))

    Andere Bezeichnung

    POTE8

    Hintergrund

    Synonyms: Prostate ovary testis-expressed protein on chromosome 8, POTE-8

    NCBI Gene Symbol: POTEA

    Molekulargewicht

    56 kDa

    Gen-ID

    340441

    OMIM

    608915

    UniProt

    Q6S8J7
Sie sind hier:
Chat with us!