Telefon:
+49 (0)241 95 163 153
Fax:
+49 (0)241 95 163 155
E-Mail:
orders@antikoerper-online.de

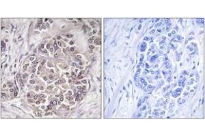
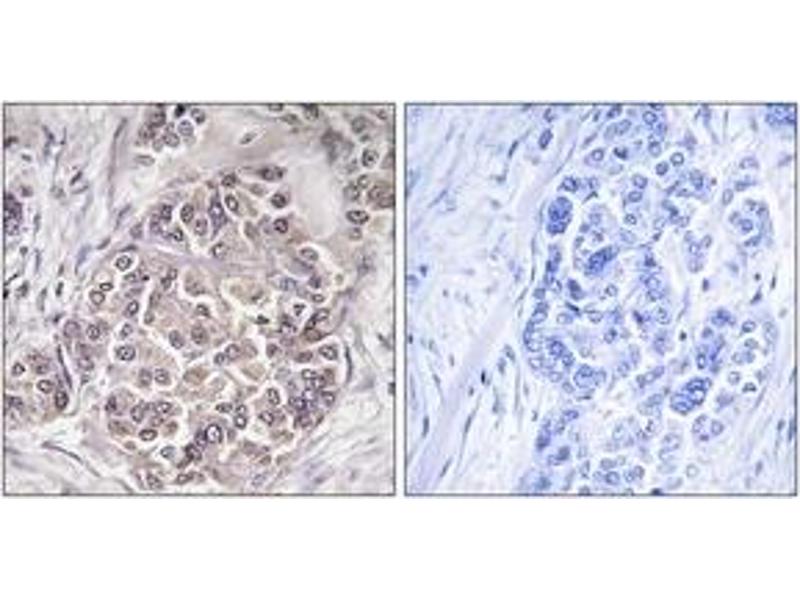
PEX1 Antikörper (AA 1234-1283)

Dieser Kaninchen Polyklonal Antikörper detektiert spezifisch PEX1 in ELISA und IHC. Es zeigt Reaktivität gegenüber Proben von Human und Maus.
Produktnummer ABIN1535160
402,00 €
Zzgl. Versandkosten 20,00 € und MwSt
Lieferung nach: Deutschland
Lieferung in 6 bis 9 Werktagen

Kurzübersicht für PEX1 Antikörper (AA 1234-1283) (ABIN1535160)

Target

Alle PEX1 Antikörper anzeigen
PEX1 (Peroxisomal Biogenesis Factor 1 (PEX1))

Reaktivität

  • 29
  • 10
  • 4
  • 1
  • 1
Human, Maus

Wirt

  • 29
  • 3
  • 1
Kaninchen

Klonalität

  • 32
  • 1
Polyklonal

Konjugat

  • 23
  • 3
  • 2
  • 2
  • 2
  • 1
Dieser PEX1 Antikörper ist unkonjugiert

Applikation

  • 24
  • 19
  • 9
  • 5
  • 3
  • 3
  • 2
  • 1
  • 1
ELISA, Immunohistochemistry (IHC)
  • Bindungsspezifität

    • 8
    • 5
    • 2
    • 2
    • 2
    • 2
    • 2
    • 2
    • 1
    • 1
    • 1
    • 1
    • 1
    • 1
    • 1
    • 1
    • 1
    AA 1234-1283

    Spezifität

    PEX1 Antibody detects endogenous levels of total PEX1 protein.

    Aufreinigung

    The antibody was purified from rabbit antiserum by affinity-chromatography using immunogen.

    Reinheit

    > 95 %

    Immunogen

    The antiserum was produced against synthesized peptide derived from human PEX1.

    Isotyp

    IgG
  • Applikationshinweise

    IHC: 1:50~1:100 ELISA: 1:10000

    Kommentare

    Unigene-Number: Hs.164682 (NCBI Gene Symbol: PEX1)

    Beschränkungen

    Nur für Forschungszwecke einsetzbar
  • Format

    Liquid

    Konzentration

    1 mg/mL

    Buffer

    phosphate buffered saline (without Mg2+ and Ca2+), pH 7.4, 150 mM NaCl, 0.02 % sodium azide and 50 % glycerol.

    Konservierungsmittel

    Sodium azide

    Vorsichtsmaßnahmen

    This product contains sodium azide: a POISONOUS AND HAZARDOUS SUBSTANCE which should be handled by trained staff only.

    Lagerung

    -20 °C

    Informationen zur Lagerung

    Stable at -20°C for at least 1 year.

    Haltbarkeit

    12 months
  • Target

    PEX1 (Peroxisomal Biogenesis Factor 1 (PEX1))

    Andere Bezeichnung

    PEX1

    Hintergrund

    Synonyms: Peroxisome biogenesis factor 1,Peroxin-1, Peroxisome biogenesis disorder protein 1

    NCBI Gene Symbol: PEX1

    Molekulargewicht

    142 kDa

    Gen-ID

    5189

    OMIM

    602136

    UniProt

    O43933
Sie sind hier:
Chat with us!