Telefon:
+49 (0)241 95 163 153
Fax:
+49 (0)241 95 163 155
E-Mail:
orders@antikoerper-online.de

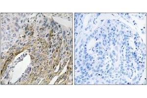
LONP2 Antikörper (AA 780-829)

Der Kaninchen Polyklonal anti-LONP2 Antikörper (ABIN1535150) detektiert spezifisch LONP2 in ELISA und IHC. Dieser Antikörper reagiert spezifisch mit Proben aus Human, Maus und Ratte.
Produktnummer ABIN1535150
402,00 €
Zzgl. Versandkosten 20,00 € und MwSt
Lieferung nach: Deutschland
Lieferung in 6 bis 9 Werktagen

Kurzübersicht für LONP2 Antikörper (AA 780-829) (ABIN1535150)

Target

Alle LONP2 Antikörper anzeigen
LONP2 (Lon Peptidase 2, Peroxisomal (LONP2))

Reaktivität

  • 16
  • 12
  • 3
  • 2
  • 1
  • 1
Human, Maus, Ratte

Wirt

  • 16
Kaninchen

Klonalität

  • 16
Polyklonal

Konjugat

  • 11
  • 1
  • 1
  • 1
  • 1
  • 1
Dieser LONP2 Antikörper ist unkonjugiert

Applikation

  • 16
  • 10
  • 3
  • 1
  • 1
ELISA, Immunohistochemistry (IHC)
  • Bindungsspezifität

    • 7
    • 4
    • 3
    • 2
    • 1
    • 1
    • 1
    AA 780-829

    Spezifität

    LONP2 Antibody detects endogenous levels of total LONP2 protein.

    Aufreinigung

    The antibody was purified from rabbit antiserum by affinity-chromatography using immunogen.

    Reinheit

    > 95 %

    Immunogen

    The antiserum was produced against synthesized peptide derived from human LONP2.

    Isotyp

    IgG
  • Applikationshinweise

    IHC: 1:50~1:100 ELISA: 1:40000

    Kommentare

    Unigene-Number: Hs.295923 (NCBI Gene Symbol: LONP2)

    Beschränkungen

    Nur für Forschungszwecke einsetzbar
  • Format

    Liquid

    Konzentration

    1 mg/mL

    Buffer

    phosphate buffered saline (without Mg2+ and Ca2+), pH 7.4, 150 mM NaCl, 0.02 % sodium azide and 50 % glycerol.

    Konservierungsmittel

    Sodium azide

    Vorsichtsmaßnahmen

    This product contains sodium azide: a POISONOUS AND HAZARDOUS SUBSTANCE which should be handled by trained staff only.

    Lagerung

    -20 °C

    Informationen zur Lagerung

    Stable at -20°C for at least 1 year.

    Haltbarkeit

    12 months
  • Target

    LONP2 (Lon Peptidase 2, Peroxisomal (LONP2))

    Andere Bezeichnung

    LONP2

    Hintergrund

    Synonyms: Peroxisomal Lon protease homolog 2, Lon protease 2, Lon protease-like protein 2, Peroxisomal Lon protease

    NCBI Gene Symbol: LONP2

    Molekulargewicht

    94 kDa

    Gen-ID

    83752

    UniProt

    Q86WA8
Sie sind hier:
Chat with us!