Telefon:
+49 (0)241 95 163 153
Fax:
+49 (0)241 95 163 155
E-Mail:
orders@antikoerper-online.de

POFUT1 Antikörper (AA 331-380)

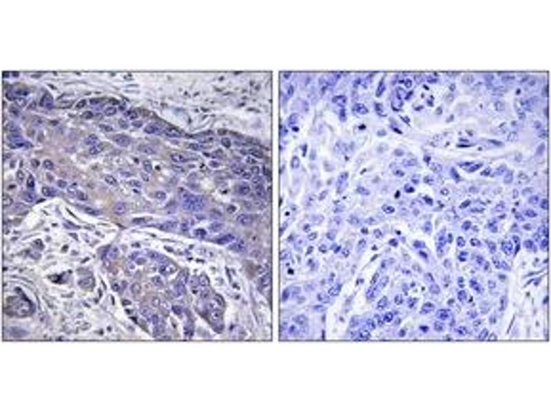
Dieser Kaninchen Polyklonal Antikörper detektiert spezifisch POFUT1 in WB, IHC und ELISA. Es zeigt Reaktivität gegenüber Proben von Human, Maus und Ratte.
Produktnummer ABIN1534936
402,00 €
Zzgl. Versandkosten 20,00 € und MwSt
Lieferung nach: Deutschland
Lieferung in 6 bis 9 Werktagen

Kurzübersicht für POFUT1 Antikörper (AA 331-380) (ABIN1534936)

Target

Alle POFUT1 Antikörper anzeigen
POFUT1 (Protein O-Fucosyltransferase 1 (POFUT1))

Reaktivität

  • 38
  • 10
  • 7
  • 4
  • 3
  • 3
  • 2
  • 2
  • 2
  • 2
  • 2
  • 1
  • 1
Human, Maus, Ratte

Wirt

  • 37
  • 2
Kaninchen

Klonalität

  • 36
  • 2
Polyklonal

Konjugat

  • 29
  • 2
  • 2
  • 2
  • 2
  • 1
  • 1
Dieser POFUT1 Antikörper ist unkonjugiert

Applikation

  • 30
  • 23
  • 17
  • 10
  • 8
  • 6
  • 5
  • 5
  • 4
  • 2
  • 1
Western Blotting (WB), Immunohistochemistry (IHC), ELISA
  • Bindungsspezifität

    • 8
    • 8
    • 6
    • 2
    • 2
    • 1
    • 1
    • 1
    • 1
    • 1
    • 1
    • 1
    • 1
    • 1
    • 1
    AA 331-380

    Spezifität

    POFUT1 Antibody detects endogenous levels of total POFUT1 protein.

    Aufreinigung

    The antibody was purified from rabbit antiserum by affinity-chromatography using immunogen.

    Reinheit

    > 95 %

    Immunogen

    The antiserum was produced against synthesized peptide derived from human POFUT1.

    Isotyp

    IgG
  • Applikationshinweise

    WB: 1:500~1:1000 IHC: 1:50~1:100 ELISA: 1:40000

    Kommentare

    Unigene-Number: Hs.472409 (NCBI Gene Symbol: OFUT1)

    Beschränkungen

    Nur für Forschungszwecke einsetzbar
  • Format

    Liquid

    Konzentration

    1 mg/mL

    Buffer

    phosphate buffered saline (without Mg2+ and Ca2+), pH 7.4, 150 mM NaCl, 0.02 % sodium azide and 50 % glycerol.

    Konservierungsmittel

    Sodium azide

    Vorsichtsmaßnahmen

    This product contains sodium azide: a POISONOUS AND HAZARDOUS SUBSTANCE which should be handled by trained staff only.

    Lagerung

    -20 °C

    Informationen zur Lagerung

    Stable at -20°C for at least 1 year.

    Haltbarkeit

    12 months
  • Target

    POFUT1 (Protein O-Fucosyltransferase 1 (POFUT1))

    Andere Bezeichnung

    POFUT1

    Hintergrund

    Synonyms: GDP-fucose protein O-fucosyltransferase 1, Peptide-O-fucosyltransferase 1, O-FucT-1

    NCBI Gene Symbol: OFUT1

    Molekulargewicht

    43 kDa

    Gen-ID

    23509

    OMIM

    607491

    UniProt

    Q9H488

    Pathways

    Notch Signalweg, SARS-CoV-2 Protein Interaktom
Sie sind hier:
Chat with us!