Telefon:
+49 (0)241 95 163 153
Fax:
+49 (0)241 95 163 155
E-Mail:
orders@antikoerper-online.de

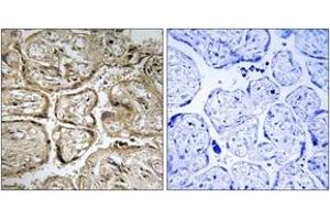
CST9L Antikörper (AA 81-130)

Der Kaninchen Polyklonal anti-CST9L Antikörper (ABIN1534808) detektiert spezifisch CST9L in ELISA und IHC. Dieser Antikörper reagiert spezifisch mit Proben aus Human.
Produktnummer ABIN1534808
402,00 €
Zzgl. Versandkosten 20,00 € und MwSt
Lieferung nach: Deutschland
Lieferung in 6 bis 9 Werktagen

Kurzübersicht für CST9L Antikörper (AA 81-130) (ABIN1534808)

Target

Alle CST9L Antikörper anzeigen
CST9L (Cystatin 9-Like (CST9L))

Reaktivität

  • 16
  • 1
  • 1
Human

Wirt

  • 16
Kaninchen

Klonalität

  • 16
Polyklonal

Konjugat

  • 6
  • 2
  • 1
  • 1
  • 1
  • 1
  • 1
  • 1
  • 1
  • 1
Dieser CST9L Antikörper ist unkonjugiert

Applikation

  • 6
  • 3
  • 3
  • 1
  • 1
ELISA, Immunohistochemistry (IHC)
  • Bindungsspezifität

    • 5
    • 1
    • 1
    • 1
    AA 81-130

    Spezifität

    CST9L Antibody detects endogenous levels of total CST9L protein.

    Aufreinigung

    The antibody was purified from rabbit antiserum by affinity-chromatography using immunogen.

    Reinheit

    > 95 %

    Immunogen

    The antiserum was produced against synthesized peptide derived from human CST9L.

    Isotyp

    IgG
  • Applikationshinweise

    IHC: 1:50~1:100 ELISA: 1:10000

    Kommentare

    Unigene-Number: Hs.121554 (NCBI Gene Symbol: CST9L)

    Beschränkungen

    Nur für Forschungszwecke einsetzbar
  • Format

    Liquid

    Konzentration

    1 mg/mL

    Buffer

    phosphate buffered saline (without Mg2+ and Ca2+), pH 7.4, 150 mM NaCl, 0.02 % sodium azide and 50 % glycerol.

    Konservierungsmittel

    Sodium azide

    Vorsichtsmaßnahmen

    This product contains sodium azide: a POISONOUS AND HAZARDOUS SUBSTANCE which should be handled by trained staff only.

    Lagerung

    -20 °C

    Informationen zur Lagerung

    Stable at -20°C for at least 1 year.

    Haltbarkeit

    12 months
  • Target

    CST9L (Cystatin 9-Like (CST9L))

    Andere Bezeichnung

    CST9L

    Hintergrund

    Synonyms: Cystatin-9-like

    NCBI Gene Symbol: CST9L

    Molekulargewicht

    17 kDa

    Gen-ID

    128821

    UniProt

    Q9H4G1
Sie sind hier:
Chat with us!