Telefon:
+49 (0)241 95 163 153
Fax:
+49 (0)241 95 163 155
E-Mail:
orders@antikoerper-online.de

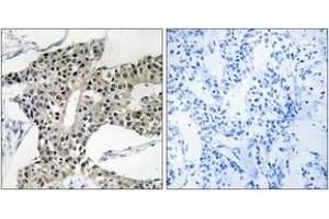
Arylsulfatase K Antikörper (AA 481-530)

Dieser Kaninchen Polyklonal Antikörper detektiert spezifisch Arylsulfatase K in ELISA und IHC. Es zeigt Reaktivität gegenüber Proben von Human, Maus und Ratte.
Produktnummer ABIN1534656
402,00 €
Zzgl. Versandkosten 20,00 € und MwSt
Lieferung nach: Deutschland
Lieferung in 6 bis 9 Werktagen

Kurzübersicht für Arylsulfatase K Antikörper (AA 481-530) (ABIN1534656)

Target

Alle Arylsulfatase K (ARSK) Antikörper anzeigen
Arylsulfatase K (ARSK)

Reaktivität

Human, Maus, Ratte

Wirt

  • 29
  • 1
Kaninchen

Klonalität

  • 30
Polyklonal

Konjugat

  • 10
  • 1
  • 1
  • 1
  • 1
  • 1
  • 1
  • 1
  • 1
  • 1
  • 1
  • 1
  • 1
  • 1
  • 1
  • 1
  • 1
  • 1
  • 1
  • 1
  • 1
Dieser Arylsulfatase K Antikörper ist unkonjugiert

Applikation

  • 13
  • 7
  • 6
  • 6
  • 4
  • 2
ELISA, Immunohistochemistry (IHC)
  • Bindungsspezifität

    • 3
    • 1
    AA 481-530

    Spezifität

    ARSK Antibody detects endogenous levels of total ARSK protein.

    Aufreinigung

    The antibody was purified from rabbit antiserum by affinity-chromatography using immunogen.

    Reinheit

    > 95 %

    Immunogen

    The antiserum was produced against synthesized peptide derived from human ARSK.

    Isotyp

    IgG
  • Applikationshinweise

    IHC: 1:50~1:100 ELISA: 1:20000

    Kommentare

    Unigene-Number: Hs.585051 (NCBI Gene Symbol: ARSK)

    Beschränkungen

    Nur für Forschungszwecke einsetzbar
  • Format

    Liquid

    Konzentration

    1 mg/mL

    Buffer

    phosphate buffered saline (without Mg2+ and Ca2+), pH 7.4, 150 mM NaCl, 0.02 % sodium azide and 50 % glycerol.

    Konservierungsmittel

    Sodium azide

    Vorsichtsmaßnahmen

    This product contains sodium azide: a POISONOUS AND HAZARDOUS SUBSTANCE which should be handled by trained staff only.

    Lagerung

    -20 °C

    Informationen zur Lagerung

    Stable at -20°C for at least 1 year.

    Haltbarkeit

    12 months
  • Target

    Arylsulfatase K (ARSK)

    Andere Bezeichnung

    ARSK

    Hintergrund

    Synonyms: Arylsulfatase K, ASK, Telethon sulfatase

    NCBI Gene Symbol: ARSK

    Molekulargewicht

    61 kDa

    Gen-ID

    153642

    OMIM

    610011

    UniProt

    Q6UWY0
Sie sind hier:
Chat with us!