IARS2 Antikörper (AA 71-120)
Kurzübersicht für IARS2 Antikörper (AA 71-120) (ABIN1534148)
Target
Reaktivität
Wirt
Klonalität
Konjugat
Applikation
-
-
Bindungsspezifität
- AA 71-120
-
Spezifität
-
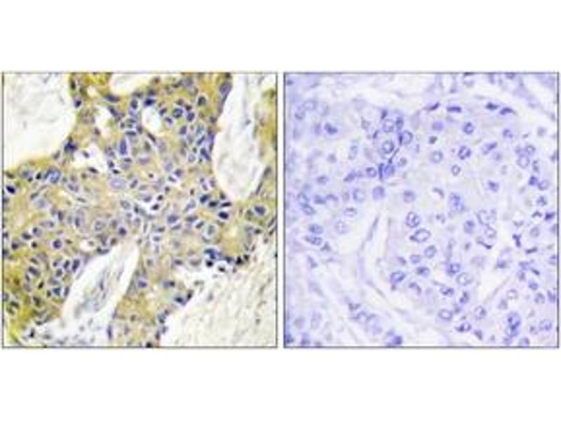
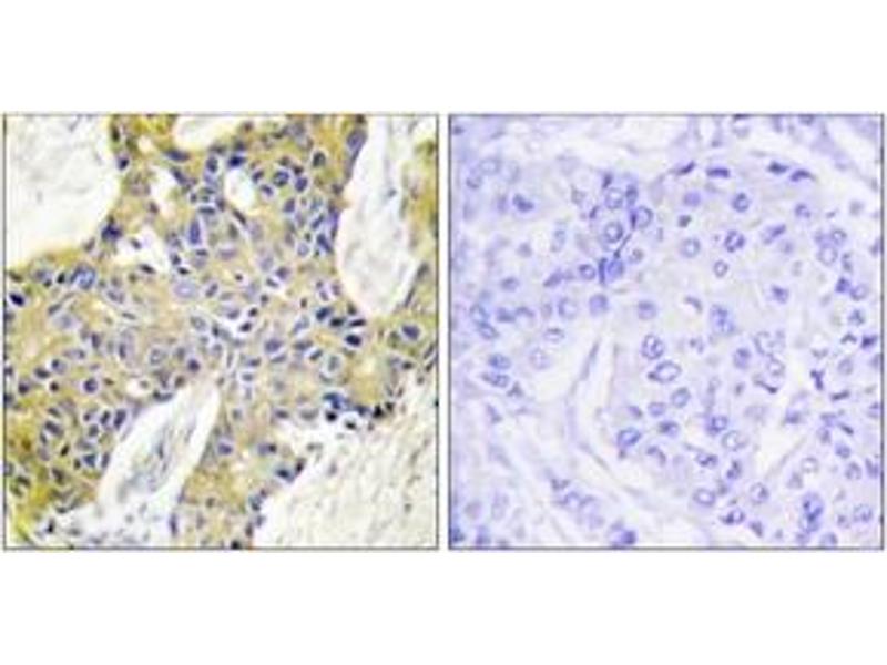
IARS2 Antibody detects endogenous levels of total IARS2 protein.
-
Aufreinigung
- The antibody was purified from rabbit antiserum by affinity-chromatography using immunogen.
-
Reinheit
- > 95 %
-
Immunogen
- The antiserum was produced against synthesized peptide derived from human IARS2.
-
Isotyp
- IgG
-
-
-
-
Applikationshinweise
- WB: 1:500~1:1000 IHC: 1:50~1:100 IF: 1:100~1:500 ELISA: 1:1000
-
Kommentare
-
Unigene-Number: Hs.262823 (NCBI Gene Symbol: IARS2)
-
Beschränkungen
- Nur für Forschungszwecke einsetzbar
-
-
-
Format
- Liquid
-
Konzentration
- 1 mg/mL
-
Buffer
- phosphate buffered saline (without Mg2+ and Ca2+), pH 7.4, 150 mM NaCl, 0.02 % sodium azide and 50 % glycerol.
-
Konservierungsmittel
- Sodium azide
-
Vorsichtsmaßnahmen
- This product contains sodium azide: a POISONOUS AND HAZARDOUS SUBSTANCE which should be handled by trained staff only.
-
Lagerung
- -20 °C
-
Informationen zur Lagerung
- Stable at -20°C for at least 1 year.
-
Haltbarkeit
- 12 months
-
-
- IARS2 (Isoleucyl-tRNA Synthetase 2, Mitochondrial (IARS2))
-
Andere Bezeichnung
- IARS2
-
Hintergrund
-
Synonyms: Isoleucyl-tRNA synthetase mitochondrial, Isoleucine--tRNA ligase, IleRS , IARS2
NCBI Gene Symbol: IARS2
-
Molekulargewicht
- 113 kDa
-
Gen-ID
- 55699
-
OMIM
- 612801
-
UniProt
- Q9NSE4
Target
-