Telefon:
+49 (0)241 95 163 153
Fax:
+49 (0)241 95 163 155
E-Mail:
orders@antikoerper-online.de

DGKH Antikörper (AA 771-820)

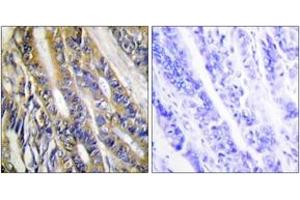
Der Kaninchen Polyklonal anti-DGKH Antikörper (ABIN1533983) detektiert spezifisch DGKH in ELISA, IHC und IF. Dieser Antikörper reagiert spezifisch mit Proben aus Human und Maus.
Produktnummer ABIN1533983
402,00 €
Zzgl. Versandkosten 20,00 € und MwSt
Lieferung nach: Deutschland
Lieferung in 6 bis 9 Werktagen

Kurzübersicht für DGKH Antikörper (AA 771-820) (ABIN1533983)

Target

Alle DGKH Antikörper anzeigen
DGKH (Diacylglycerol Kinase, eta (DGKH))

Reaktivität

  • 18
  • 7
  • 6
  • 3
  • 3
  • 2
  • 2
  • 2
  • 2
  • 1
  • 1
  • 1
  • 1
  • 1
  • 1
Human, Maus

Wirt

  • 17
  • 1
Kaninchen

Klonalität

  • 17
  • 1
Polyklonal

Konjugat

  • 10
  • 1
  • 1
  • 1
  • 1
  • 1
  • 1
  • 1
  • 1
Dieser DGKH Antikörper ist unkonjugiert

Applikation

  • 7
  • 7
  • 4
  • 4
  • 4
  • 3
  • 2
  • 1
  • 1
  • 1
ELISA, Immunohistochemistry (IHC), Immunofluorescence (IF)
  • Bindungsspezifität

    • 3
    • 2
    • 1
    • 1
    • 1
    • 1
    • 1
    • 1
    AA 771-820

    Spezifität

    DGKH Antibody detects endogenous levels of total DGKH protein.

    Aufreinigung

    The antibody was purified from rabbit antiserum by affinity-chromatography using immunogen.

    Reinheit

    > 95 %

    Immunogen

    The antiserum was produced against synthesized peptide derived from human DGKH.

    Isotyp

    IgG
  • Applikationshinweise

    IHC: 1:50~1:100 IF: 1:100~1:500 ELISA: 1:5000

    Kommentare

    Unigene-Number: Hs.659437 (NCBI Gene Symbol: DGKH)

    Beschränkungen

    Nur für Forschungszwecke einsetzbar
  • Format

    Liquid

    Konzentration

    1 mg/mL

    Buffer

    phosphate buffered saline (without Mg2+ and Ca2+), pH 7.4, 150 mM NaCl, 0.02 % sodium azide and 50 % glycerol.

    Konservierungsmittel

    Sodium azide

    Vorsichtsmaßnahmen

    This product contains sodium azide: a POISONOUS AND HAZARDOUS SUBSTANCE which should be handled by trained staff only.

    Lagerung

    -20 °C

    Informationen zur Lagerung

    Stable at -20°C for at least 1 year.

    Haltbarkeit

    12 months
  • Target

    DGKH (Diacylglycerol Kinase, eta (DGKH))

    Andere Bezeichnung

    DGKH

    Hintergrund

    Synonyms: Diacylglycerol kinase eta, Diglyceride kinase eta, DGK-eta, DAG kinase eta, DGKH

    NCBI Gene Symbol: DGKH

    Molekulargewicht

    134 kDa

    Gen-ID

    160851

    OMIM

    604071

    UniProt

    Q86XP1
Sie sind hier:
Chat with us!