HMGN2 Antikörper (AA 1-50)
Kurzübersicht für HMGN2 Antikörper (AA 1-50) (ABIN1533587)
Target
Alle HMGN2 Antikörper anzeigenReaktivität
Wirt
Klonalität
Konjugat
Applikation
-
-
Bindungsspezifität
- AA 1-50
-
Spezifität
-
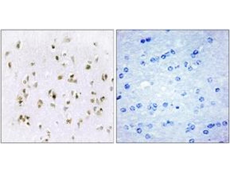
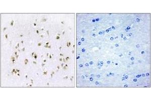
HMG17 Antibody detects endogenous levels of total HMG17 protein.
-
Aufreinigung
- The antibody was purified from rabbit antiserum by affinity-chromatography using immunogen.
-
Reinheit
- > 95 %
-
Immunogen
- The antiserum was produced against synthesized peptide derived from human HMG17.
-
Isotyp
- IgG
-
-
-
-
Applikationshinweise
- IHC: 1:50~1:100 IF: 1:100~1:500 ELISA: 1:40000
-
Kommentare
-
Unigene-Number: Hs.181163 (NCBI Gene Symbol: HMGN2)
-
Beschränkungen
- Nur für Forschungszwecke einsetzbar
-
-
-
Format
- Liquid
-
Konzentration
- 1 mg/mL
-
Buffer
- phosphate buffered saline (without Mg2+ and Ca2+), pH 7.4, 150 mM NaCl, 0.02 % sodium azide and 50 % glycerol.
-
Konservierungsmittel
- Sodium azide
-
Vorsichtsmaßnahmen
- This product contains sodium azide: a POISONOUS AND HAZARDOUS SUBSTANCE which should be handled by trained staff only.
-
Lagerung
- -20 °C
-
Informationen zur Lagerung
- Stable at -20°C for at least 1 year.
-
Haltbarkeit
- 12 months
-
-
- HMGN2 (High Mobility Group Nucleosomal Binding Domain 2 (HMGN2))
-
Andere Bezeichnung
- HMG17
-
Hintergrund
-
Synonyms: high mobility group protein N2, high-mobility group (nonhistone chromosomal) protein 17, high-mobility group nucleosomal binding domain 2, high-mobility group nucleosome binding domain 2, HMG17, nonhistone chromosomal protein HMG-17
NCBI Gene Symbol: HMGN2
-
Molekulargewicht
- 9 kDa
-
Gen-ID
- 3151
-
OMIM
- 163910
-
UniProt
- P05204
Target
-