Telefon:
+49 (0)241 95 163 153
Fax:
+49 (0)241 95 163 155
E-Mail:
orders@antikoerper-online.de

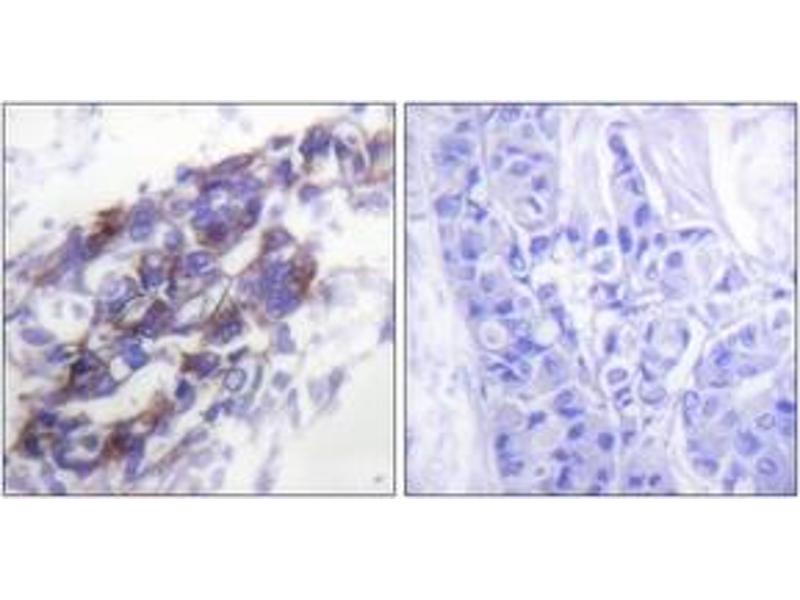
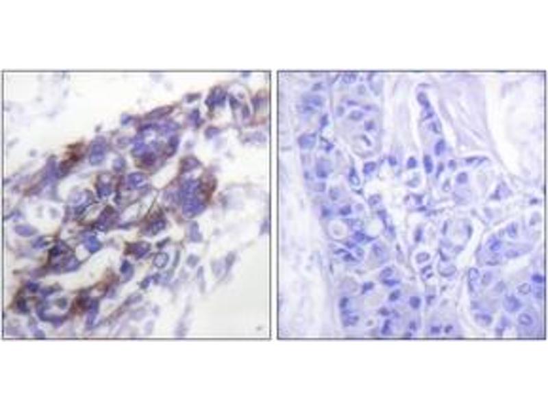
KRT8 Antikörper (AA 434-483)

Der Kaninchen Polyklonal anti-KRT8 Antikörper (ABIN1533328) detektiert spezifisch KRT8 in WB, IHC und ELISA. Dieser Antikörper reagiert spezifisch mit Proben aus Human, Ratte und Maus.
Produktnummer ABIN1533328
402,00 €
Zzgl. Versandkosten 20,00 € und MwSt
Lieferung nach: Deutschland
Lieferung in 6 bis 9 Werktagen

Kurzübersicht für KRT8 Antikörper (AA 434-483) (ABIN1533328)

Target

Alle KRT8 Antikörper anzeigen
KRT8 (Keratin 8 (KRT8))

Reaktivität

  • 317
  • 89
  • 87
  • 67
  • 66
  • 64
  • 63
  • 16
  • 14
  • 10
  • 8
  • 5
  • 4
  • 3
  • 2
  • 1
  • 1
  • 1
Human, Ratte, Maus

Wirt

  • 168
  • 161
  • 3
Kaninchen

Klonalität

  • 190
  • 139
  • 1
Polyklonal

Konjugat

  • 174
  • 26
  • 17
  • 8
  • 8
  • 7
  • 7
  • 7
  • 7
  • 7
  • 7
  • 3
  • 3
  • 3
  • 3
  • 3
  • 3
  • 3
  • 3
  • 3
  • 3
  • 3
  • 3
  • 2
  • 2
  • 2
  • 2
  • 2
  • 2
  • 2
  • 2
  • 2
  • 1
  • 1
  • 1
Dieser KRT8 Antikörper ist unkonjugiert

Applikation

  • 234
  • 164
  • 130
  • 102
  • 72
  • 52
  • 47
  • 41
  • 41
  • 39
  • 35
  • 30
  • 23
  • 5
  • 4
  • 4
  • 2
  • 2
  • 2
  • 2
  • 1
  • 1
Western Blotting (WB), Immunohistochemistry (IHC), ELISA
  • Bindungsspezifität

    • 23
    • 16
    • 13
    • 12
    • 8
    • 7
    • 7
    • 6
    • 6
    • 5
    • 4
    • 4
    • 3
    • 3
    • 2
    • 2
    • 2
    • 2
    • 2
    • 2
    • 2
    • 2
    • 2
    • 2
    • 1
    • 1
    • 1
    • 1
    • 1
    • 1
    • 1
    • 1
    • 1
    • 1
    • 1
    • 1
    • 1
    • 1
    • 1
    • 1
    • 1
    • 1
    • 1
    AA 434-483

    Spezifität

    Keratin 8 Antibody detects endogenous levels of total Keratin 8 protein.

    Aufreinigung

    The antibody was purified from rabbit antiserum by affinity-chromatography using immunogen.

    Reinheit

    > 95 %

    Immunogen

    The antiserum was produced against synthesized peptide derived from human Keratin 8.

    Isotyp

    IgG
  • Applikationshinweise

    WB: 1:500~1:1000 IHC: 1:50~1:100 ELISA: 1:40000

    Kommentare

    Unigene-Number: Hs.533782, Hs.708445 (NCBI Gene Symbol: KRT8)

    Beschränkungen

    Nur für Forschungszwecke einsetzbar
  • Format

    Liquid

    Konzentration

    1 mg/mL

    Buffer

    phosphate buffered saline (without Mg2+ and Ca2+), pH 7.4, 150 mM NaCl, 0.02 % sodium azide and 50 % glycerol.

    Konservierungsmittel

    Sodium azide

    Vorsichtsmaßnahmen

    This product contains sodium azide: a POISONOUS AND HAZARDOUS SUBSTANCE which should be handled by trained staff only.

    Lagerung

    -20 °C

    Informationen zur Lagerung

    Stable at -20°C for at least 1 year.

    Haltbarkeit

    12 months
  • Target

    KRT8 (Keratin 8 (KRT8))

    Andere Bezeichnung

    Keratin 8

    Hintergrund

    Synonyms: CK 8, CK8, CYK8, Cytokeratin endo A, K2C8, K8, KRT2-8, KRT8, Keratin, type II cytoskeletal 8, cytokeratin 8

    NCBI Gene Symbol: KRT8

    Molekulargewicht

    53 kDa

    Gen-ID

    3856

    OMIM

    148060

    UniProt

    P05787
Sie sind hier:
Chat with us!