Telefon:
+49 (0)241 95 163 153
Fax:
+49 (0)241 95 163 155
E-Mail:
orders@antikoerper-online.de

KAT5 Antikörper (AA 52-101)

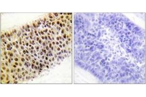
Der Kaninchen Polyklonal anti-KAT5 Antikörper (ABIN1532534) detektiert spezifisch KAT5 in ELISA, IHC und IF. Dieser Antikörper reagiert spezifisch mit Proben aus Human und Maus.
Produktnummer ABIN1532534
402,00 €
Zzgl. Versandkosten 20,00 € und MwSt
Lieferung nach: Deutschland
Lieferung in 6 bis 9 Werktagen

Kurzübersicht für KAT5 Antikörper (AA 52-101) (ABIN1532534)

Target

Alle KAT5 Antikörper anzeigen
KAT5 (K(lysine) Acetyltransferase 5 (KAT5))

Reaktivität

  • 89
  • 65
  • 56
  • 6
  • 6
  • 5
  • 5
  • 5
  • 5
  • 4
  • 2
  • 2
  • 1
  • 1
  • 1
Human, Maus

Wirt

  • 103
  • 16
Kaninchen

Klonalität

  • 104
  • 16
Polyklonal

Konjugat

  • 61
  • 8
  • 7
  • 6
  • 2
  • 2
  • 2
  • 2
  • 2
  • 2
  • 2
  • 2
  • 2
  • 2
  • 2
  • 2
  • 2
  • 2
  • 2
  • 2
  • 2
  • 2
  • 2
Dieser KAT5 Antikörper ist unkonjugiert

Applikation

  • 89
  • 56
  • 27
  • 27
  • 22
  • 18
  • 8
  • 7
  • 6
  • 4
  • 2
  • 2
  • 2
  • 1
ELISA, Immunohistochemistry (IHC), Immunofluorescence (IF)
  • Bindungsspezifität

    • 18
    • 15
    • 13
    • 8
    • 8
    • 5
    • 5
    • 5
    • 3
    • 3
    • 2
    • 2
    • 2
    • 1
    • 1
    • 1
    • 1
    • 1
    • 1
    • 1
    • 1
    • 1
    • 1
    • 1
    • 1
    • 1
    • 1
    AA 52-101

    Spezifität

    TIP60 Antibody detects endogenous levels of total TIP60 protein.

    Aufreinigung

    The antibody was purified from rabbit antiserum by affinity-chromatography using immunogen.

    Reinheit

    > 95 %

    Immunogen

    The antiserum was produced against synthesized peptide derived from human TIP60.

    Isotyp

    IgG
  • Applikationshinweise

    IHC: 1:50~1:100 IF: 1:100~1:500 ELISA: 1:1000

    Kommentare

    Unigene-Number: Hs.397010 (NCBI Gene Symbol: KAT5)

    Beschränkungen

    Nur für Forschungszwecke einsetzbar
  • Format

    Liquid

    Konzentration

    1 mg/mL

    Buffer

    phosphate buffered saline (without Mg2+ and Ca2+), pH 7.4, 150 mM NaCl, 0.02 % sodium azide and 50 % glycerol.

    Konservierungsmittel

    Sodium azide

    Vorsichtsmaßnahmen

    This product contains sodium azide: a POISONOUS AND HAZARDOUS SUBSTANCE which should be handled by trained staff only.

    Lagerung

    -20 °C

    Informationen zur Lagerung

    Stable at -20°C for at least 1 year.

    Haltbarkeit

    12 months
  • Target

    KAT5 (K(lysine) Acetyltransferase 5 (KAT5))

    Andere Bezeichnung

    TIP60

    Hintergrund

    Synonyms: 60 kDa Tat interactive protein, cPLA(2)-interacting protein, histone acetyltransferase HTATIP, HIV-1 Tat interactive protein, HTATIP, Tat-interactive 60 kDa protein alpha isoform, Tat-interactive protein-60, TI60

    NCBI Gene Symbol: KAT5

    Molekulargewicht

    58 kDa

    Gen-ID

    10524

    OMIM

    601409

    UniProt

    Q92993

    Pathways

    Intracellular Steroid Hormone Receptor Signaling Pathway
Sie sind hier:
Chat with us!