Telefon:
+49 (0)241 95 163 153
Fax:
+49 (0)241 95 163 155
E-Mail:
orders@antikoerper-online.de

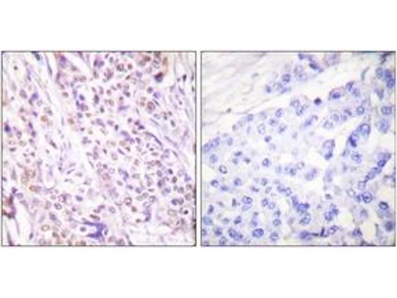
RAD17 Antikörper (AA 621-670)

Der Kaninchen Polyklonal anti-RAD17 Antikörper wird verwendet zum Nachweis von RAD17 in Proben von Human und Maus. Er wurde validiert für WB, ELISA, IHC und IF.
Produktnummer ABIN1532259
402,00 €
Zzgl. Versandkosten 20,00 € und MwSt
Lieferung nach: Deutschland
Lieferung in 6 bis 9 Werktagen

Kurzübersicht für RAD17 Antikörper (AA 621-670) (ABIN1532259)

Target

Alle RAD17 Antikörper anzeigen
RAD17

Reaktivität

  • 112
  • 31
  • 20
  • 5
  • 4
  • 4
  • 3
  • 2
  • 1
  • 1
  • 1
  • 1
Human, Maus

Wirt

  • 109
  • 4
  • 3
  • 1
Kaninchen

Klonalität

  • 103
  • 13
Polyklonal

Konjugat

  • 56
  • 7
  • 5
  • 4
  • 3
  • 3
  • 3
  • 3
  • 3
  • 3
  • 2
  • 2
  • 2
  • 2
  • 2
  • 2
  • 2
  • 2
  • 2
  • 2
  • 2
  • 2
  • 1
  • 1
  • 1
Dieser RAD17 Antikörper ist unkonjugiert

Applikation

  • 68
  • 33
  • 26
  • 26
  • 21
  • 19
  • 14
  • 13
  • 10
  • 6
  • 5
  • 1
  • 1
  • 1
Western Blotting (WB), ELISA, Immunohistochemistry (IHC), Immunofluorescence (IF)
  • Bindungsspezifität

    • 21
    • 15
    • 12
    • 10
    • 7
    • 6
    • 5
    • 5
    • 4
    • 2
    • 2
    • 2
    • 2
    • 1
    • 1
    • 1
    • 1
    • 1
    • 1
    • 1
    • 1
    • 1
    • 1
    • 1
    • 1
    • 1
    AA 621-670

    Spezifität

    RAD17 Antibody detects endogenous levels of total RAD17 protein.

    Aufreinigung

    The antibody was purified from rabbit antiserum by affinity-chromatography using immunogen.

    Reinheit

    > 95 %

    Immunogen

    The antiserum was produced against synthesized peptide derived from human RAD17.

    Isotyp

    IgG
  • Applikationshinweise

    WB: 1:500~1:1000 IHC: 1:50~1:100 IF: 1:100~1:500 ELISA: 1:10000

    Kommentare

    Unigene-Number: Hs.16184 (NCBI Gene Symbol: RAD17)

    Beschränkungen

    Nur für Forschungszwecke einsetzbar
  • Format

    Liquid

    Konzentration

    1 mg/mL

    Buffer

    phosphate buffered saline (without Mg2+ and Ca2+), pH 7.4, 150 mM NaCl, 0.02 % sodium azide and 50 % glycerol.

    Konservierungsmittel

    Sodium azide

    Vorsichtsmaßnahmen

    This product contains sodium azide: a POISONOUS AND HAZARDOUS SUBSTANCE which should be handled by trained staff only.

    Lagerung

    -20 °C

    Informationen zur Lagerung

    Stable at -20°C for at least 1 year.

    Haltbarkeit

    12 months
  • Target

    RAD17

    Andere Bezeichnung

    RAD17

    Hintergrund

    Synonyms: Cell cycle checkpoint protein RAD17, hRad17, RF-C/activator 1 homolog , RAD17 , R24L

    NCBI Gene Symbol: RAD17

    Molekulargewicht

    77 kDa

    Gen-ID

    5884

    OMIM

    603139

    UniProt

    O75943
Sie sind hier:
Chat with us!