Telefon:
+49 (0)241 95 163 153
Fax:
+49 (0)241 95 163 155
E-Mail:
orders@antikoerper-online.de

Histone H1 Antikörper (pSer17)

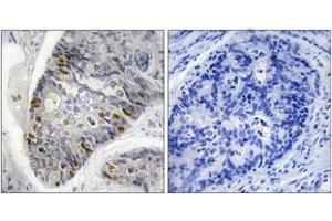
Dieser Kaninchen Polyklonal Antikörper detektiert spezifisch Histone H1 in IF, WB, IHC und ELISA. Es zeigt Reaktivität gegenüber Proben von Human und Maus.
Produktnummer ABIN1531612
402,00 €
Zzgl. Versandkosten 20,00 € und MwSt
Lieferung nach: Deutschland
Lieferung in 6 bis 9 Werktagen

Kurzübersicht für Histone H1 Antikörper (pSer17) (ABIN1531612)

Target

Alle Histone H1 Antikörper anzeigen
Histone H1

Reaktivität

  • 136
  • 108
  • 102
  • 7
  • 5
  • 4
  • 1
  • 1
  • 1
  • 1
  • 1
Human, Maus

Wirt

  • 102
  • 33
  • 4
  • 2
Kaninchen

Klonalität

  • 85
  • 56
Polyklonal

Konjugat

  • 72
  • 8
  • 5
  • 5
  • 5
  • 5
  • 5
  • 5
  • 4
  • 2
  • 2
  • 2
  • 2
  • 2
  • 2
  • 1
  • 1
  • 1
  • 1
  • 1
  • 1
  • 1
  • 1
  • 1
  • 1
  • 1
  • 1
  • 1
  • 1
  • 1
Dieser Histone H1 Antikörper ist unkonjugiert

Applikation

  • 84
  • 76
  • 72
  • 62
  • 30
  • 22
  • 15
  • 13
  • 13
  • 9
  • 9
  • 7
  • 6
  • 5
  • 3
  • 2
  • 1
  • 1
  • 1
Immunofluorescence (IF), Western Blotting (WB), Immunohistochemistry (IHC), ELISA
  • Bindungsspezifität

    • 16
    • 12
    • 9
    • 7
    • 3
    • 3
    • 2
    • 2
    • 2
    • 2
    • 1
    • 1
    • 1
    • 1
    • 1
    • 1
    • 1
    • 1
    • 1
    AA 1-50, pSer17

    Spezifität

    Histone H1 (Phospho-Thr17) Antibody detects endogenous levels of Histone H1 only when phosphorylated at Thr17.

    PhosphorylationH:S17 M:S17

    Aufreinigung

    The antibody was purified from rabbit antiserum by affinity-chromatography using phospho peptide. The antibody against non-phospho peptide was removed by chromatography using corresponding non-phospho peptide.

    Reinheit

    > 95 %

    Immunogen

    The antiserum was produced against synthesized peptide derived from human Histone H1 around the phosphorylation site of Thr17.

    Isotyp

    IgG
  • Applikationshinweise

    WB: 1:500~1:1000 IHC: 1:50~1:100 IF: 1:100~1:500 ELISA: 1:1000

    Kommentare

    Unigene-Number: Hs.131956, Hs.136857, Hs.248133 (NCBI Gene Symbol: HIST1H1B)

    Beschränkungen

    Nur für Forschungszwecke einsetzbar
  • Format

    Liquid

    Konzentration

    1 mg/mL

    Buffer

    phosphate buffered saline (without Mg2+ and Ca2+), pH 7.4, 150 mM NaCl, 0.02 % sodium azide and 50 % glycerol.

    Konservierungsmittel

    Sodium azide

    Vorsichtsmaßnahmen

    This product contains sodium azide: a POISONOUS AND HAZARDOUS SUBSTANCE which should be handled by trained staff only.

    Lagerung

    -20 °C

    Informationen zur Lagerung

    Stable at -20°C for at least 1 year.

    Haltbarkeit

    12 months
  • Target

    Histone H1

    Hintergrund

    Synonyms: Histone H1.5, Histone H1a, HIST1H1B, H1F5, Histone H1.3, Histone H1c , HIST1H1D , H1F3, Histone H1.4, Histone H1b , HIST1H1E, H1F4

    NCBI Gene Symbol: HIST1H1B

    Molekulargewicht

    22 kDa

    Gen-ID

    3009, 3007, 3008

    OMIM

    142711

    UniProt

    P16401, P16402, P10412
Sie sind hier:
Chat with us!