Telefon:
+49 (0)241 95 163 153
Fax:
+49 (0)241 95 163 155
E-Mail:
orders@antikoerper-online.de

TNNI3 Antikörper (pSer43)

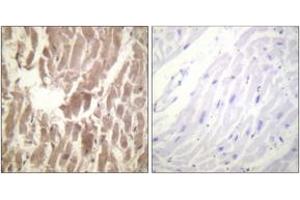
Dieser Kaninchen Polyklonal Antikörper detektiert spezifisch TNNI3 in WB, IHC und ELISA. Es zeigt Reaktivität gegenüber Proben von Human, Maus und Ratte.
Produktnummer ABIN1531519
402,00 €
Zzgl. Versandkosten 20,00 € und MwSt
Lieferung nach: Deutschland
Lieferung in 6 bis 9 Werktagen

Kurzübersicht für TNNI3 Antikörper (pSer43) (ABIN1531519)

Target

Alle TNNI3 Antikörper anzeigen
TNNI3 (Cardiac Troponin I (TNNI3))

Reaktivität

  • 187
  • 79
  • 54
  • 21
  • 18
  • 17
  • 12
  • 9
  • 6
  • 4
  • 3
  • 3
  • 3
  • 1
  • 1
Human, Maus, Ratte

Wirt

  • 110
  • 104
  • 10
  • 8
  • 3
  • 1
  • 1
Kaninchen

Klonalität

  • 119
  • 110
  • 2
Polyklonal

Konjugat

  • 173
  • 16
  • 11
  • 8
  • 3
  • 3
  • 2
  • 2
  • 2
  • 2
  • 2
  • 2
  • 1
  • 1
  • 1
  • 1
  • 1
  • 1
  • 1
  • 1
  • 1
  • 1
  • 1
  • 1
Dieser TNNI3 Antikörper ist unkonjugiert

Applikation

  • 183
  • 112
  • 98
  • 47
  • 19
  • 18
  • 16
  • 15
  • 13
  • 13
  • 11
  • 11
  • 8
  • 7
  • 7
  • 6
  • 5
  • 4
  • 4
  • 4
  • 4
  • 3
  • 2
  • 2
  • 1
  • 1
  • 1
  • 1
  • 1
  • 1
  • 1
  • 1
Western Blotting (WB), Immunohistochemistry (IHC), ELISA
  • Bindungsspezifität

    • 15
    • 7
    • 7
    • 7
    • 7
    • 6
    • 6
    • 5
    • 4
    • 4
    • 4
    • 3
    • 3
    • 3
    • 3
    • 3
    • 3
    • 2
    • 2
    • 2
    • 2
    • 2
    • 2
    • 2
    • 2
    • 2
    • 2
    • 2
    • 2
    • 2
    • 2
    • 2
    • 2
    • 1
    • 1
    • 1
    • 1
    • 1
    • 1
    • 1
    • 1
    • 1
    • 1
    • 1
    • 1
    • 1
    • 1
    • 1
    • 1
    • 1
    AA 11-60, pSer43

    Spezifität

    TNNI3 (Phospho-Ser43) Antibody detects endogenous levels of TNNI3 only when phosphorylated at Ser43.

    PhosphorylationH:S43 M:S44 R:S44

    Aufreinigung

    The antibody was purified from rabbit antiserum by affinity-chromatography using phospho peptide. The antibody against non-phospho peptide was removed by chromatography using corresponding non-phospho peptide.

    Reinheit

    > 95 %

    Immunogen

    The antiserum was produced against synthesized peptide derived from human TNNI3 around the phosphorylation site of Ser43.

    Isotyp

    IgG
  • Applikationshinweise

    WB: 1:500~1:1000 IHC: 1:50~1:100 ELISA: 1:40000

    Kommentare

    Unigene-Number: Hs.709179 (NCBI Gene Symbol: TNNI3)

    Beschränkungen

    Nur für Forschungszwecke einsetzbar
  • Format

    Liquid

    Konzentration

    1 mg/mL

    Buffer

    phosphate buffered saline (without Mg2+ and Ca2+), pH 7.4, 150 mM NaCl, 0.02 % sodium azide and 50 % glycerol.

    Konservierungsmittel

    Sodium azide

    Vorsichtsmaßnahmen

    This product contains sodium azide: a POISONOUS AND HAZARDOUS SUBSTANCE which should be handled by trained staff only.

    Lagerung

    -20 °C

    Informationen zur Lagerung

    Stable at -20°C for at least 1 year.

    Haltbarkeit

    12 months
  • Target

    TNNI3 (Cardiac Troponin I (TNNI3))

    Andere Bezeichnung

    TNNI3

    Hintergrund

    Synonyms: Troponin I cardiac muscle, Cardiac troponin I , TNNI3 , TNNC1

    NCBI Gene Symbol: TNNI3

    Molekulargewicht

    24 kDa

    Gen-ID

    7137

    OMIM

    115210

    UniProt

    P19429
Sie sind hier:
Chat with us!