Telefon:
+49 (0)241 95 163 153
Fax:
+49 (0)241 95 163 155
E-Mail:
orders@antikoerper-online.de

TBCC Antikörper

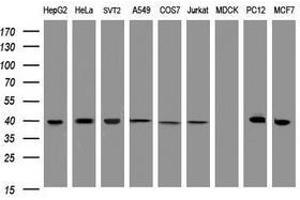
Dieser Maus Monoklonal Antikörper detektiert spezifisch TBCC in WB. Es zeigt Reaktivität gegenüber Proben von Human, Maus, Ratte und Affe.
Produktnummer ABIN1501324
806,47 €
Zzgl. Versandkosten 20,00 € und MwSt
100 μL
Lieferung nach: Deutschland
Lieferung in 15 bis 20 Werktagen

Kurzübersicht für TBCC Antikörper (ABIN1501324)

Target

Alle TBCC Antikörper anzeigen
TBCC (Tubulin Folding Cofactor C (TBCC))

Reaktivität

Human, Maus, Ratte, Affe

Wirt

  • 34
  • 7
Maus

Klonalität

  • 36
  • 5
Monoklonal

Konjugat

  • 22
  • 4
  • 4
  • 3
  • 1
  • 1
  • 1
  • 1
  • 1
  • 1
  • 1
  • 1
Dieser TBCC Antikörper ist unkonjugiert

Applikation

  • 28
  • 21
  • 8
  • 7
  • 5
  • 2
  • 1
Western Blotting (WB)

Klon

3A10
  • Spezifität

    Human TBCC

    Aufreinigung

    Protein A/G purified

    Immunogen

    Full length human recombinant protein of human TBCC(NP_003183) produced in HEK293T cell.

    Type of Immunogen: Recombinant protein

    Isotyp

    IgG2a
  • Applikationshinweise

    Approved: WB (1:2000 - 1:4000)

    Kommentare

    Target Species of Antibody: Human

    Beschränkungen

    Nur für Forschungszwecke einsetzbar
  • Format

    Liquid

    Konzentration

    Lot specific

    Buffer

    PBS,  pH 7.3, 1 % BSA, 50 % glycerol, 0.02 % sodium azide

    Konservierungsmittel

    Sodium azide

    Vorsichtsmaßnahmen

    This product contains Sodium azide: a POISONOUS AND HAZARDOUS SUBSTANCE which should be handled by trained staff only.

    Lagerung

    -20 °C

    Informationen zur Lagerung

    Store at -20°C. Avoid freeze-thaw cycles.
  • Target

    TBCC (Tubulin Folding Cofactor C (TBCC))

    Andere Bezeichnung

    TBCC

    Hintergrund

    Name/Gene ID: TBCC

    Synonyms: TBCC, CFC, Cofactor c, Tubulin-specific chaperone C, Tubulin-folding cofactor C, Tubulin folding cofactor C

    Gen-ID

    6903

    NCBI Accession

    NP_003183
Sie sind hier:
Chat with us!