Telefon:
+49 (0)241 95 163 153
Fax:
+49 (0)241 95 163 155
E-Mail:
orders@antikoerper-online.de

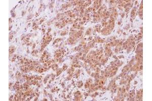
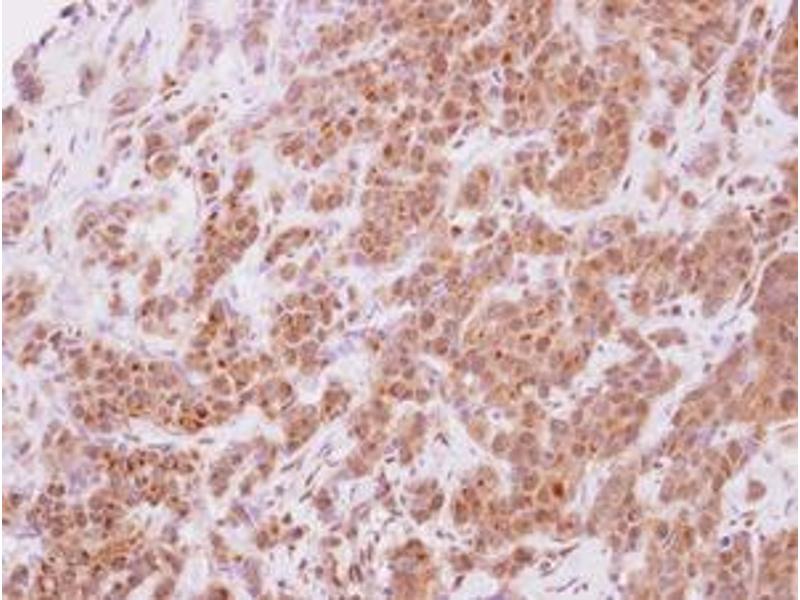
STYXL1 Antikörper (AA 1-313)

Der Kaninchen Polyklonal anti-STYXL1 Antikörper (ABIN1501221) detektiert spezifisch STYXL1 in WB, IHC (p) und IHC. Dieser Antikörper reagiert spezifisch mit Proben aus Human.
Produktnummer ABIN1501221
833,74 €
Zzgl. Versandkosten 20,00 € und MwSt
100 μL
Lieferung nach: Deutschland
Lieferung in 15 bis 20 Werktagen

Kurzübersicht für STYXL1 Antikörper (AA 1-313) (ABIN1501221)

Target

Alle STYXL1 Antikörper anzeigen
STYXL1 (serine/threonine/tyrosine Interacting-Like 1 (STYXL1))

Reaktivität

  • 6
  • 2
  • 2
  • 2
  • 1
  • 1
  • 1
  • 1
  • 1
  • 1
Human

Wirt

  • 4
  • 2
Kaninchen

Klonalität

  • 6
Polyklonal

Konjugat

  • 6
Dieser STYXL1 Antikörper ist unkonjugiert

Applikation

Western Blotting (WB), Immunohistochemistry (Paraffin-embedded Sections) (IHC (p)), Immunohistochemistry (IHC)
  • Bindungsspezifität

    • 2
    • 1
    • 1
    AA 1-313

    Spezifität

    Human STYXL1

    Homologie

    Percent identity by BLAST analysis:

    Aufreinigung

    Immunoaffinity purified

    Immunogen

    Recombinant fragment corresponding to a region within amino acids 1 and 313 of STYXL1 (SwissProt Q9Y6J8). Percent identity by BLAST analysis:

    Type of Immunogen: Recombinant protein

    Isotyp

    IgG
  • Applikationshinweise

    Approved: IHC, IHC-P (1:100 - 1:1000), WB (1:500 - 1:3000)

    Usage: Suggested starting dilutions are as follows: Western blot: 1:500-1:3000, IHC-Paraffin: 1:100-1:1000 [suggested antigen retrieval using heat mediated 10 mM Citrate buffer (  pH 6.0) or Tris-EDTA buffer (  pH 8.0)]. Not yet tested in other applications. Optimal working dilutions should be determined experimentally by the end user.

    Kommentare

    Target Species of Antibody: Human

    Beschränkungen

    Nur für Forschungszwecke einsetzbar
  • Format

    Liquid

    Konzentration

    Lot specific

    Buffer

    0.1 M Tris-glycine,  pH 7, 20 % Glycerol, 0.01 % Thimerosal

    Konservierungsmittel

    Thimerosal (Merthiolate)

    Vorsichtsmaßnahmen

    This product contains Thimerosal (Merthiolate): a POISONOUS AND HAZARDOUS SUBSTANCE which should be handled by trained staff only.

    Handhabung

    Avoid freeze-thaw cycles.

    Lagerung

    -20 °C

    Informationen zur Lagerung

    Aliquot and freeze at -20°C. Avoid freeze-thaw cycles.
  • Target

    STYXL1 (serine/threonine/tyrosine Interacting-Like 1 (STYXL1))

    Andere Bezeichnung

    STYXL1

    Hintergrund

    Name/Gene ID: STYXL1
    Subfamily: Protein Phosphatase - Provisional
    Family: Protein Phosphatase

    Synonyms: STYXL1, MK-STYX, MKSTYX, DUSP24

    Gen-ID

    51657

    UniProt

    Q9Y6J8
Sie sind hier:
Chat with us!