RBPMS Antikörper
Kurzübersicht für RBPMS Antikörper (ABIN1500642)
Target
Alle RBPMS Antikörper anzeigenReaktivität
Wirt
Klonalität
Konjugat
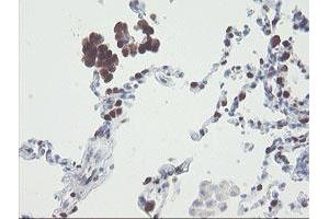
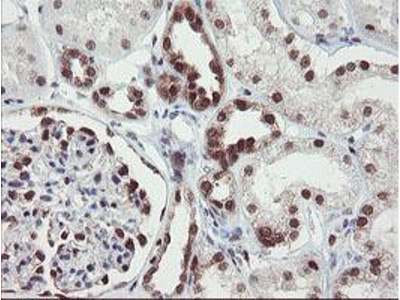
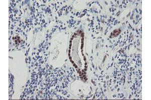
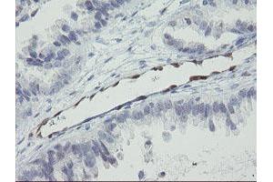
Applikation
Klon
-
-
Spezifität
- Human RBPMS
-
Aufreinigung
- Protein A/G purified
-
Immunogen
-
Full length human recombinant protein of human RBPMS (NP_001008712) produced in E. coli.
Type of Immunogen: Recombinant protein -
Isotyp
- IgG1
-
-
-
-
Applikationshinweise
- Approved: Flo (1:100), IHC, IHC-P (1:150), WB (1:2000)
-
Kommentare
-
Target Species of Antibody: Human
-
Beschränkungen
- Nur für Forschungszwecke einsetzbar
-
-
-
Format
- Liquid
-
Konzentration
- Lot specific
-
Buffer
- PBS, pH 7.3, 1 % BSA, 50 % glycerol, 0.02 % sodium azide
-
Konservierungsmittel
- Sodium azide
-
Vorsichtsmaßnahmen
- This product contains Sodium azide: a POISONOUS AND HAZARDOUS SUBSTANCE which should be handled by trained staff only.
-
Handhabung
- Minimize freezing and thawing.
-
Lagerung
- -20 °C
-
Informationen zur Lagerung
- Store at -20°C. Avoid freeze-thaw cycles.
-
-
- RBPMS (RNA Binding Protein with Multiple Splicing (RBPMS))
-
Andere Bezeichnung
- RBPMS / Hermes
-
Hintergrund
-
Name/Gene ID: RBPMS
Synonyms: RBPMS, Rbp-ms/type 5, RBP-MS, HERMES -
Gen-ID
- 11030
-
NCBI Accession
- NP_001008712
-
UniProt
- Q93062
Target
-