Telefon:
+49 (0)241 95 163 153
Fax:
+49 (0)241 95 163 155
E-Mail:
orders@antikoerper-online.de

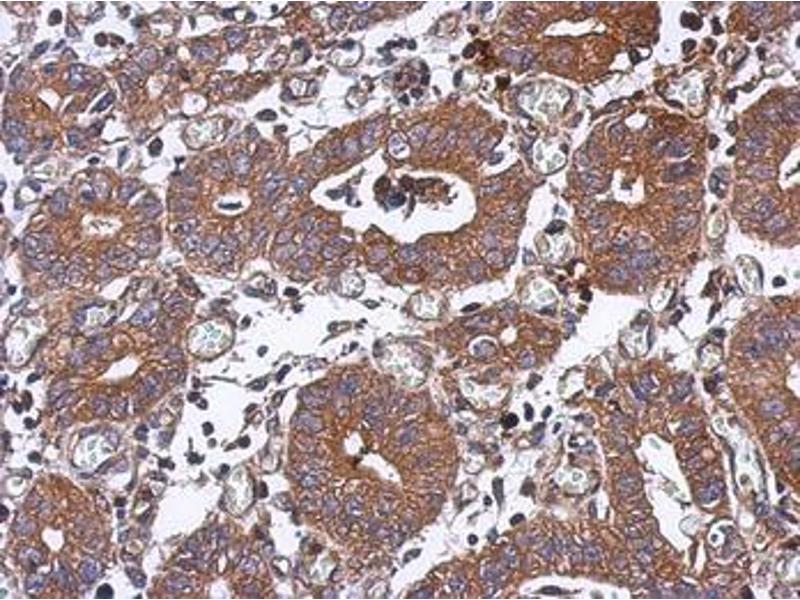
PPM1J Antikörper (AA 133-442)

Dieser Kaninchen Polyklonal Antikörper detektiert spezifisch PPM1J in WB, IHC und IHC (p). Es zeigt Reaktivität gegenüber Proben von Human.
Produktnummer ABIN1500379
833,74 €
Zzgl. Versandkosten 20,00 € und MwSt
100 μL
Lieferung nach: Deutschland
Lieferung in 15 bis 20 Werktagen

Kurzübersicht für PPM1J Antikörper (AA 133-442) (ABIN1500379)

Target

Alle PPM1J Antikörper anzeigen
PPM1J (Protein Phosphatase 1J (PPM1J))

Reaktivität

  • 18
  • 9
  • 7
  • 4
  • 4
  • 4
  • 4
  • 4
  • 2
  • 2
  • 1
  • 1
Human

Wirt

  • 17
  • 1
Kaninchen

Klonalität

  • 18
Polyklonal

Konjugat

  • 15
  • 1
  • 1
  • 1
Dieser PPM1J Antikörper ist unkonjugiert

Applikation

  • 15
  • 6
  • 1
  • 1
  • 1
  • 1
  • 1
Western Blotting (WB), Immunohistochemistry (IHC), Immunohistochemistry (Paraffin-embedded Sections) (IHC (p))
  • Bindungsspezifität

    • 4
    • 3
    • 2
    • 2
    • 1
    • 1
    • 1
    • 1
    AA 133-442

    Spezifität

    Human PPM1J

    Homologie

    Percent identity by BLAST analysis: Human (100%) Rat (92%) Mouse (90%).

    Aufreinigung

    Immunoaffinity purified

    Immunogen

    Recombinant fragment corresponding to a region within amino acids 133 and 442 of PPM1J (SwissProt Q5JR12). Percent identity by BLAST analysis: Human (100%), Rat (92%), Mouse (90%).

    Type of Immunogen: Recombinant protein

    Isotyp

    IgG
  • Applikationshinweise

    Approved: IHC, IHC-P (1:100 - 1:1000), WB (1:500 - 1:3000)

    Usage: Suggested starting dilutions are as follows: Western blot: 1:500-1:3000, IHC-Paraffin: 1:100-1:1000 [suggested antigen retrieval using heat mediated 10 mM Citrate buffer (  pH 6.0) or Tris-EDTA buffer (  pH 8.0)]. Not yet tested in other applications. Optimal working dilutions should be determined experimentally by the end user.

    Kommentare

    Target Species of Antibody: Human

    Beschränkungen

    Nur für Forschungszwecke einsetzbar
  • Format

    Liquid

    Konzentration

    Lot specific

    Buffer

    PBS,  pH 7, 1 % BSA, 20 % Glycerol, 0.01 % Thimerosal

    Konservierungsmittel

    Thimerosal (Merthiolate)

    Vorsichtsmaßnahmen

    This product contains Thimerosal (Merthiolate): a POISONOUS AND HAZARDOUS SUBSTANCE which should be handled by trained staff only.

    Handhabung

    Avoid freeze-thaw cycles.

    Lagerung

    -20 °C

    Informationen zur Lagerung

    Aliquot and freeze at -20°C. Avoid freeze-thaw cycles.
  • Target

    PPM1J (Protein Phosphatase 1J (PPM1J))

    Andere Bezeichnung

    PPM1J

    Hintergrund

    Name/Gene ID: PPM1J
    Family: Ras GTPase superfamily IPR001806

    Synonyms: PPM1J, PP2C-zeta, PP2CZ, PPP2CZ, Protein phosphatase 2C zeta, RP11-426L16.5, Transforming protein rhoc, Protein phosphatase 1J, PP2Czeta

    Gen-ID

    333926

    UniProt

    Q5JR12
Sie sind hier:
Chat with us!