ITFG3 Antikörper
Kurzübersicht für ITFG3 Antikörper (ABIN1498916)
Target
Alle ITFG3 Antikörper anzeigenReaktivität
Wirt
Klonalität
Konjugat
Applikation
Klon
-
-
Spezifität
- Human ITFG3
-
Aufreinigung
- Protein A/G purified
-
Immunogen
-
Full length human recombinant protein of human ITFG3 (NP_114428) produced in HEK293T cell.
Type of Immunogen: Recombinant protein -
Isotyp
- IgG1
-
-
-
-
Applikationshinweise
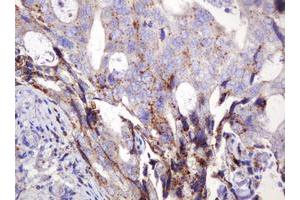
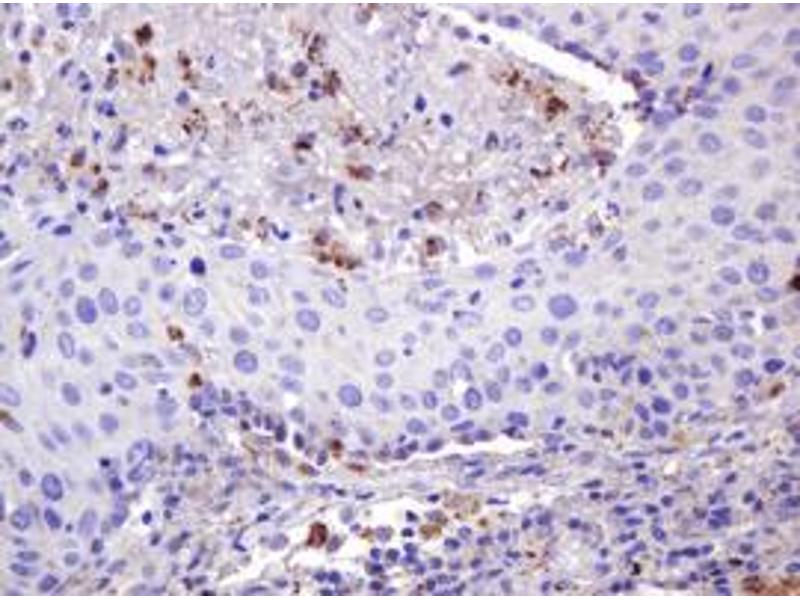
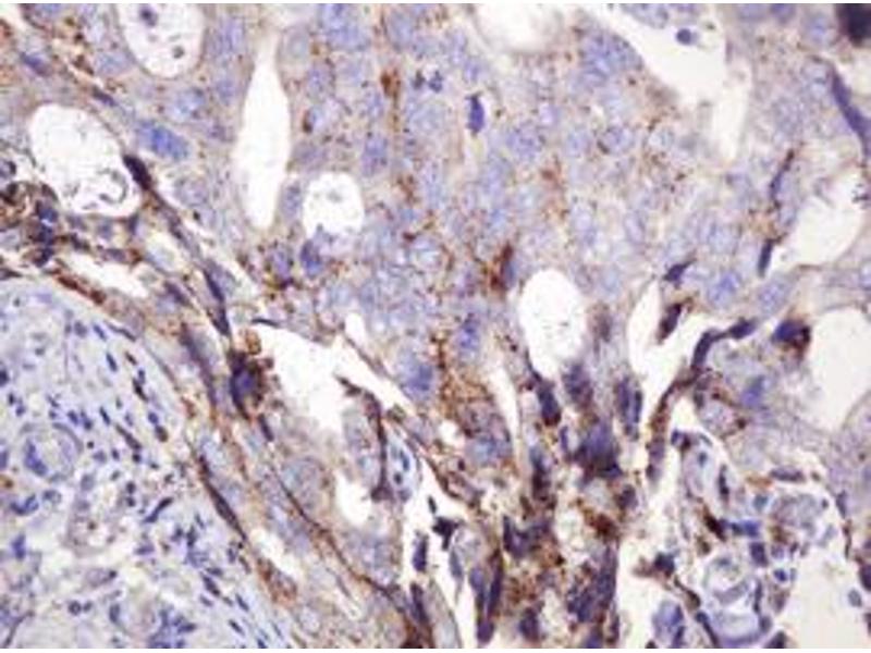
- Approved: IHC, IHC-P (1:150), WB (1:2000)
-
Kommentare
-
Target Species of Antibody: Human
-
Beschränkungen
- Nur für Forschungszwecke einsetzbar
-
-
-
Format
- Liquid
-
Konzentration
- Lot specific
-
Buffer
- PBS, pH 7.3, 1 % BSA, 50 % glycerol, 0.02 % sodium azide
-
Konservierungsmittel
- Sodium azide
-
Vorsichtsmaßnahmen
- This product contains Sodium azide: a POISONOUS AND HAZARDOUS SUBSTANCE which should be handled by trained staff only.
-
Lagerung
- -20 °C
-
Informationen zur Lagerung
- Store at -20°C. Avoid freeze-thaw cycles.
-
-
- ITFG3 (Integrin alpha FG-GAP Repeat Containing 3 (ITFG3))
-
Andere Bezeichnung
- FAM234A
-
Hintergrund
-
Name/Gene ID: FAM234A
Synonyms: FAM234A, C16orf9, Gs19, Protein ITFG3, DKFZP761D0211, ITFG3 -
Gen-ID
- 83986
-
NCBI Accession
- NP_114428
Target
-