Telefon:
+49 (0)241 95 163 153
Fax:
+49 (0)241 95 163 155
E-Mail:
orders@antikoerper-online.de

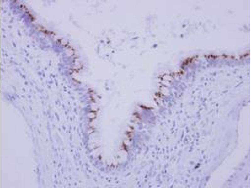
FAM164A Antikörper (AA 61-261)

Der Kaninchen Polyklonal anti-FAM164A Antikörper (ABIN1498203) detektiert spezifisch FAM164A in WB, IHC und IHC (p). Dieser Antikörper reagiert spezifisch mit Proben aus Human.
Produktnummer ABIN1498203
833,74 €
Zzgl. Versandkosten 20,00 € und MwSt
100 μL
Lieferung nach: Deutschland
Lieferung in 15 bis 20 Werktagen

Kurzübersicht für FAM164A Antikörper (AA 61-261) (ABIN1498203)

Target

FAM164A (Family with Sequence Similarity 164, Member A (FAM164A))

Reaktivität

  • 42
  • 18
  • 16
  • 5
  • 2
  • 2
  • 2
  • 2
  • 2
Human

Wirt

  • 38
  • 4
Kaninchen

Klonalität

  • 41
  • 1
Polyklonal

Konjugat

  • 17
  • 2
  • 2
  • 2
  • 1
  • 1
  • 1
  • 1
  • 1
  • 1
  • 1
  • 1
  • 1
  • 1
  • 1
  • 1
  • 1
  • 1
  • 1
  • 1
  • 1
  • 1
  • 1
Dieser FAM164A Antikörper ist unkonjugiert

Applikation

  • 36
  • 13
  • 8
  • 6
  • 3
  • 3
  • 1
Western Blotting (WB), Immunohistochemistry (IHC), Immunohistochemistry (Paraffin-embedded Sections) (IHC (p))
  • Bindungsspezifität

    • 8
    • 5
    • 2
    • 2
    • 1
    • 1
    • 1
    AA 61-261

    Spezifität

    Human FAM164A / CGI-62

    Homologie

    Percent identity by BLAST analysis:

    Aufreinigung

    Immunoaffinity purified

    Immunogen

    Recombinant protein fragment contain a sequence corresponding to a region within amino acids 61 and 261 of CGI 62. Percent identity by BLAST analysis:

    Type of Immunogen: Recombinant protein

    Isotyp

    IgG
  • Applikationshinweise

    Approved: IHC, IHC-P (1:100 - 1:1000), WB (1:500 - 1:3000)

    Usage: Suggested starting dilutions are as follows: Western blot: 1:500-1:3000, IHC-Paraffin: 1:100-1:1000 [suggested antigen retrieval using heat mediated 10 mM Citrate buffer (  pH 6.0) or Tris-EDTA buffer (  pH 8.0)]. Not yet tested in other applications. Optimal working dilutions should be determined experimentally by the end user.

    Kommentare

    Target Species of Antibody: Human

    Beschränkungen

    Nur für Forschungszwecke einsetzbar
  • Format

    Liquid

    Konzentration

    Lot specific

    Buffer

    PBS,  pH 7, 1 % BSA, 20 % Glycerol, 0.01 % Thimerosal

    Konservierungsmittel

    Thimerosal (Merthiolate)

    Vorsichtsmaßnahmen

    This product contains Thimerosal (Merthiolate): a POISONOUS AND HAZARDOUS SUBSTANCE which should be handled by trained staff only.

    Handhabung

    Avoid freeze-thaw cycles.

    Lagerung

    -20 °C

    Informationen zur Lagerung

    Aliquot and freeze at -20°C. Avoid freeze-thaw cycles.
  • Target

    FAM164A (Family with Sequence Similarity 164, Member A (FAM164A))

    Andere Bezeichnung

    FAM164A / CGI-62

    Hintergrund

    Name/Gene ID: ZC2HC1A

    Synonyms: ZC2HC1A, C8orf70, CGI-62, FAM164A, Protein FAM164A

    Gen-ID

    51101

    UniProt

    Q96GY0
Sie sind hier:
Chat with us!