Telefon:
+49 (0)241 95 163 153
Fax:
+49 (0)241 95 163 155
E-Mail:
orders@antikoerper-online.de

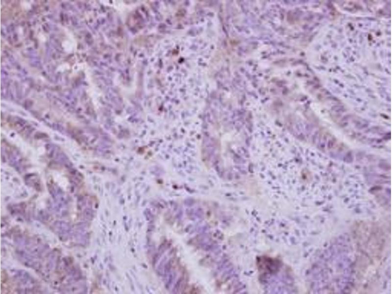
FADS1 Antikörper (AA 247-444)

Der Kaninchen Polyklonal anti-FADS1 Antikörper (ABIN1498179) detektiert spezifisch FADS1 in WB, IHC und IHC (p). Dieser Antikörper reagiert spezifisch mit Proben aus Human.
Produktnummer ABIN1498179
833,74 €
Zzgl. Versandkosten 20,00 € und MwSt
100 μL
Lieferung nach: Deutschland
Lieferung in 15 bis 20 Werktagen

Kurzübersicht für FADS1 Antikörper (AA 247-444) (ABIN1498179)

Target

Alle FADS1 Antikörper anzeigen
FADS1 (Fatty Acid Desaturase 1 (FADS1))

Reaktivität

  • 50
  • 38
  • 34
  • 5
  • 4
  • 4
  • 3
  • 3
  • 2
  • 2
  • 1
Human

Wirt

  • 63
  • 5
  • 1
Kaninchen

Klonalität

  • 49
  • 20
Polyklonal

Konjugat

  • 36
  • 3
  • 3
  • 2
  • 2
  • 2
  • 2
  • 2
  • 2
  • 2
  • 1
  • 1
  • 1
  • 1
  • 1
  • 1
  • 1
  • 1
  • 1
  • 1
  • 1
  • 1
  • 1
Dieser FADS1 Antikörper ist unkonjugiert

Applikation

  • 57
  • 22
  • 18
  • 17
  • 14
  • 14
  • 13
  • 13
  • 10
  • 4
  • 2
  • 1
Western Blotting (WB), Immunohistochemistry (IHC), Immunohistochemistry (Paraffin-embedded Sections) (IHC (p))
  • Bindungsspezifität

    • 15
    • 5
    • 5
    • 3
    • 2
    • 2
    • 2
    • 1
    • 1
    • 1
    • 1
    • 1
    • 1
    • 1
    AA 247-444

    Spezifität

    Human FADS1

    Homologie

    Percent identity by BLAST analysis: Human (100%) Mouse, Porcine (88%) Rat (87%).

    Aufreinigung

    Immunoaffinity purified

    Immunogen

    Recombinant fragment corresponding to a region within amino acids 247 and 444 of FADS1 (SwissProt O60427). Percent identity by BLAST analysis: Human (100%), Mouse, Porcine (88%), Rat (87%).

    Type of Immunogen: Recombinant protein

    Isotyp

    IgG
  • Applikationshinweise

    Approved: IHC, IHC-P (1:100 - 1:1000), WB (1:500 - 1:3000)

    Usage: Suggested starting dilutions are as follows: Western blot: 1:500-1:3000, IHC-Paraffin: 1:100-1:1000 [suggested antigen retrieval using heat mediated 10 mM Citrate buffer (  pH 6.0) or Tris-EDTA buffer (  pH 8.0)]. Not yet tested in other applications. Optimal working dilutions should be determined experimentally by the end user.

    Kommentare

    Target Species of Antibody: Human

    Beschränkungen

    Nur für Forschungszwecke einsetzbar
  • Format

    Liquid

    Konzentration

    Lot specific

    Buffer

    0.1 M Tris-glycine,  pH 7, 20 % Glycerol, 0.01 % Thimerosal

    Konservierungsmittel

    Thimerosal (Merthiolate)

    Vorsichtsmaßnahmen

    This product contains Thimerosal (Merthiolate): a POISONOUS AND HAZARDOUS SUBSTANCE which should be handled by trained staff only.

    Handhabung

    Avoid freeze-thaw cycles.

    Lagerung

    -20 °C

    Informationen zur Lagerung

    Aliquot and freeze at -20°C. Avoid freeze-thaw cycles.
  • Target

    FADS1 (Fatty Acid Desaturase 1 (FADS1))

    Andere Bezeichnung

    FADS1

    Hintergrund

    Name/Gene ID: FADS1

    Synonyms: FADS1, D5D, Delta-5 fatty acid desaturase, Delta(5) fatty acid desaturase, Delta-5 desaturase, Fatty acid desaturase 1, FADSD5, LLCDL1, Delta(5) desaturase, TU12

    Gen-ID

    3992

    UniProt

    O60427

    Pathways

    Regulation of Lipid Metabolism by PPARalpha
Sie sind hier:
Chat with us!