AGPAT5 Antikörper
Kurzübersicht für AGPAT5 Antikörper (ABIN1496498)
Target
Alle AGPAT5 Antikörper anzeigenReaktivität
Wirt
Klonalität
Konjugat
Applikation
Klon
-
-
Spezifität
- Human AGPAT5
-
Aufreinigung
- Protein A/G purified
-
Immunogen
-
Full length human recombinant protein of human AGPAT5(NP_060831) produced in HEK293T cell.
Type of Immunogen: Recombinant protein -
Isotyp
- IgG2a
-
-
-
-
Applikationshinweise
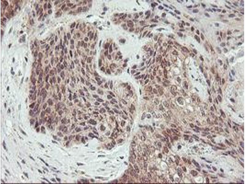
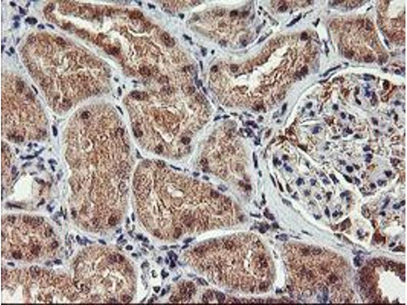
- Approved: IF (1:100), IHC, IHC-P (1:150), WB (1:2000)
-
Kommentare
-
Target Species of Antibody: Human
-
Beschränkungen
- Nur für Forschungszwecke einsetzbar
-
-
-
Format
- Liquid
-
Konzentration
- Lot specific
-
Buffer
- PBS, pH 7.3, 1 % BSA, 50 % glycerol, 0.02 % sodium azide
-
Konservierungsmittel
- Sodium azide
-
Vorsichtsmaßnahmen
- This product contains Sodium azide: a POISONOUS AND HAZARDOUS SUBSTANCE which should be handled by trained staff only.
-
Handhabung
- Minimize freezing and thawing.
-
Lagerung
- -20 °C
-
Informationen zur Lagerung
- Store at -20°C. Avoid freeze-thaw cycles.
-
-
- AGPAT5 (1-Acylglycerol-3-Phosphate O-Acyltransferase 5 (Lysophosphatidic Acid Acyltransferase, Epsilon) (AGPAT5))
-
Andere Bezeichnung
- AGPAT5
-
Hintergrund
-
Name/Gene ID: AGPAT5
Synonyms: AGPAT5, 1AGPAT5, 1-AGP acyltransferase 5, 1-AGPAT 5, LPAAT-epsilon, LPAATE, LPAAT-e -
Gen-ID
- 55326
-
NCBI Accession
- NP_060831
-
UniProt
- Q9NUQ2
Target
-