ACSF2 Antikörper
Kurzübersicht für ACSF2 Antikörper (ABIN1496423)
Target
Alle ACSF2 Antikörper anzeigenReaktivität
Wirt
Klonalität
Konjugat
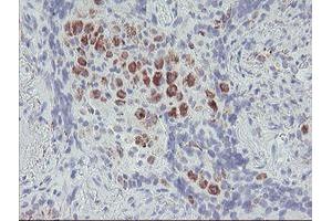
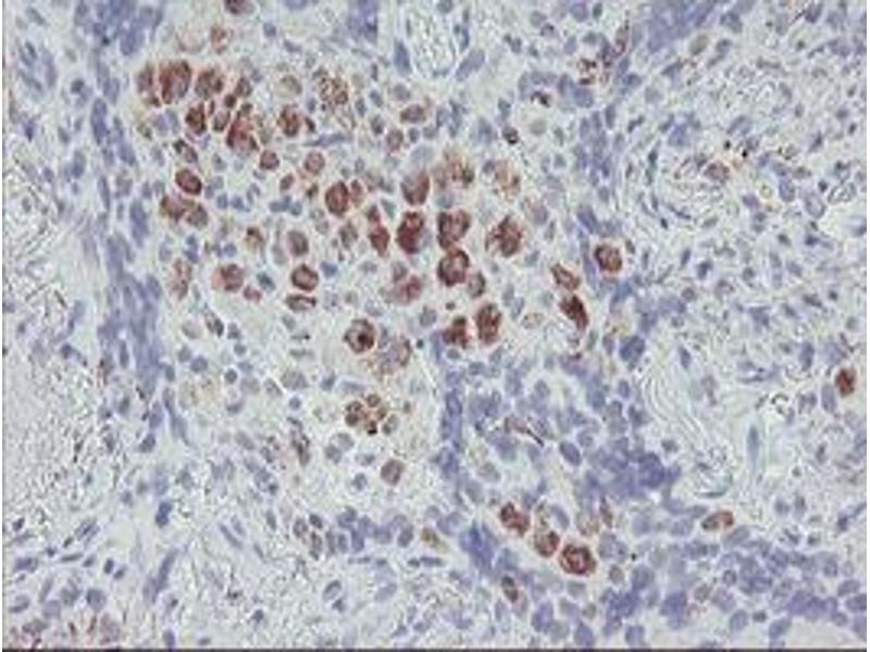
Applikation
Klon
-
-
Spezifität
- Human ACSF2
-
Aufreinigung
- Protein A/G purified
-
Immunogen
-
Full length human recombinant protein of human ACSF2(NP_079425) produced in HEK293T cell.
Type of Immunogen: Recombinant protein -
Isotyp
- IgG1
-
-
-
-
Applikationshinweise
- Approved: Flo (1:100), IF (1:100), IHC, IHC-P (1:150)
-
Kommentare
-
Target Species of Antibody: Human
-
Beschränkungen
- Nur für Forschungszwecke einsetzbar
-
-
-
Format
- Liquid
-
Konzentration
- Lot specific
-
Buffer
- PBS, pH 7.3, 1 % BSA, 50 % glycerol, 0.02 % sodium azide
-
Konservierungsmittel
- Sodium azide
-
Vorsichtsmaßnahmen
- This product contains Sodium azide: a POISONOUS AND HAZARDOUS SUBSTANCE which should be handled by trained staff only.
-
Lagerung
- -20 °C
-
Informationen zur Lagerung
- Store at -20°C. Avoid freeze-thaw cycles.
-
-
- ACSF2 (Acyl-CoA Synthetase Family Member 2 (ACSF2))
-
Andere Bezeichnung
- ACSF2
-
Hintergrund
-
Name/Gene ID: ACSF2
Synonyms: ACSF2, AVYV493, ACSMW -
Gen-ID
- 80221
-
NCBI Accession
- NP_079425
Target
-