EPHX1 Antikörper (AA 21-230)
Kurzübersicht für EPHX1 Antikörper (AA 21-230) (ABIN1491196)
Target
Alle EPHX1 Antikörper anzeigenReaktivität
Wirt
Klonalität
Konjugat
Applikation
Klon
-
-
Bindungsspezifität
- AA 21-230
-
Spezifität
- Human EPHX / Epoxide Hydrolase
-
Aufreinigung
- Protein A/G purified
-
Immunogen
-
Human recombinant protein fragment corresponding to amino acids 21-230 of human EPHX1 (NP_000111) produced in E. coli.
Type of Immunogen: Recombinant protein -
Isotyp
- IgG1
-
-
-
-
Applikationshinweise
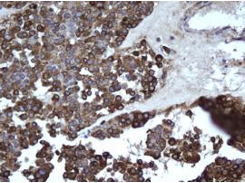
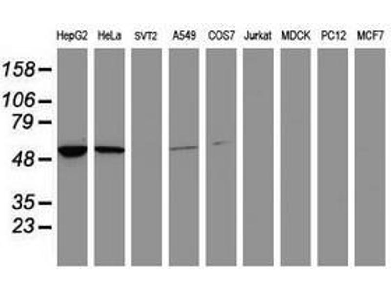
- Approved: IHC, IHC-P (1:150), WB (1:2000)
-
Kommentare
-
Target Species of Antibody: Human
-
Beschränkungen
- Nur für Forschungszwecke einsetzbar
-
-
-
Format
- Liquid
-
Konzentration
- Lot specific
-
Buffer
- PBS, pH 7.3, 1 % BSA, 50 % glycerol, 0.02 % sodium azide
-
Konservierungsmittel
- Sodium azide
-
Vorsichtsmaßnahmen
- This product contains Sodium azide: a POISONOUS AND HAZARDOUS SUBSTANCE which should be handled by trained staff only.
-
Handhabung
- Minimize freezing and thawing.
-
Lagerung
- -20 °C
-
Informationen zur Lagerung
- Store at -20°C. Avoid freeze-thaw cycles.
-
-
- EPHX1 (Epoxide Hydrolase 1, Microsomal (Xenobiotic) (EPHX1))
-
Andere Bezeichnung
- EPHX1 / Epoxide Hydrolase 1
-
Hintergrund
-
Name/Gene ID: EPHX1
Subfamily: Serine S33
Family: Protease
Synonyms: EPHX1, Epoxide hydratase, Epoxide hydrolase, Epoxide hydrolase 1, HYL1, MEH, Microsomal epoxide hydrolase, EPHX, EPOX -
Gen-ID
- 2052
-
NCBI Accession
- NP_000111
-
UniProt
- P07099
Target
-