GDPD2 Antikörper (AA 210-255)
Kurzübersicht für GDPD2 Antikörper (AA 210-255) (ABIN1386980)
Target
Alle GDPD2 Antikörper anzeigenReaktivität
Wirt
Klonalität
Konjugat
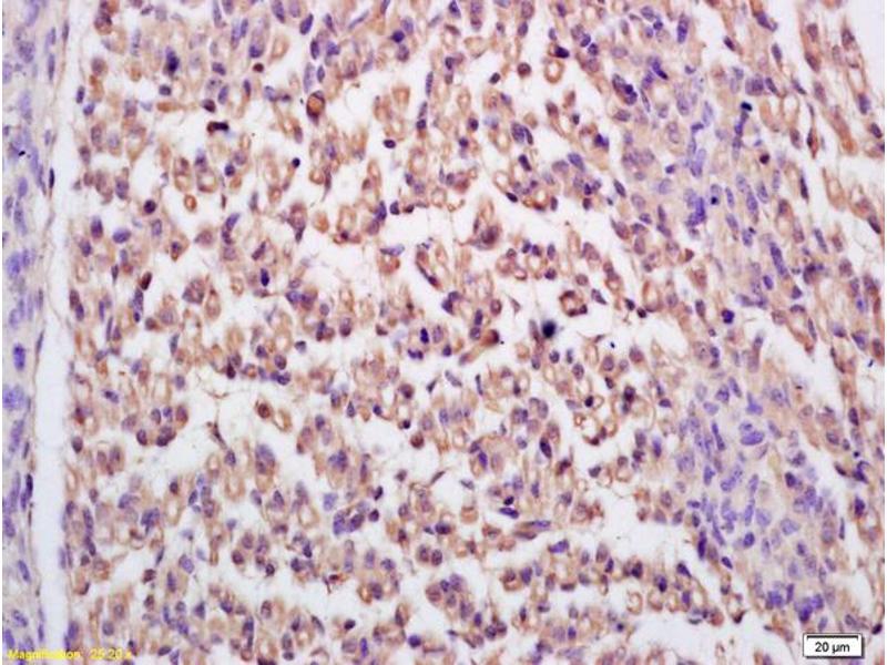
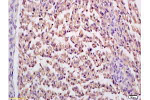
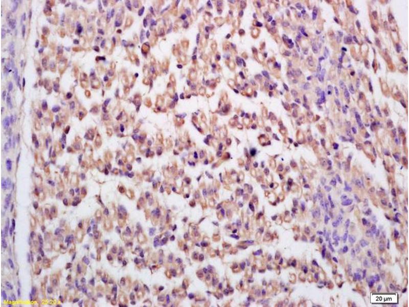
Applikation
-
-
Bindungsspezifität
- AA 210-255
-
Kreuzreaktivität
- Human, Maus, Ratte
-
Aufreinigung
- Purified by Protein A.
-
Immunogen
- KLH conjugated synthetic peptide derived from human GDPD2/GDE3
-
Isotyp
- IgG
-
-
-
-
Applikationshinweise
-
WB 1:300-5000
IHC-P 1:200-400
IF(IHC-P) 1:50-200 -
Beschränkungen
- Nur für Forschungszwecke einsetzbar
-
-
-
Format
- Liquid
-
Konzentration
- 1 μg/μL
-
Buffer
- 0.01M TBS( pH 7.4) with 1 % BSA, 0.02 % Proclin300 and 50 % Glycerol.
-
Konservierungsmittel
- ProClin
-
Vorsichtsmaßnahmen
- This product contains ProClin: a POISONOUS AND HAZARDOUS SUBSTANCE, which should be handled by trained staff only.
-
Lagerung
- 4 °C,-20 °C
-
Informationen zur Lagerung
- Shipped at 4°C. Store at -20°C for one year. Avoid repeated freeze/thaw cycles.
-
Haltbarkeit
- 12 months
-
-
- GDPD2 (glycerophosphodiester phosphodiesterase Domain Containing 2 (GDPD2))
-
Andere Bezeichnung
- GDE3
-
Hintergrund
-
Synonyms: GDE3, OBDPF, Glycerophosphoinositol inositolphosphodiesterase GDPD2, Glycerophosphodiester phosphodiesterase 3, Glycerophosphodiester phosphodiesterase domain-containing protein 2, Osteoblast differentiation promoting factor, GDPD2, UNQ1935/PRO4418
Background: Has glycerophosphoinositol inositolphosphodiesterase activity and specifically hydrolyzes glycerophosphoinositol, with no activity for other substrates such as glycerophosphoinositol 4-phosphate, glycerophosphocholine, glycerophosphoethanolamine, and glycerophosphoserine. Accelerates the program of osteoblast differentiation and growth. May play a role in remodeling of the actin cytoskeleton (By similarity).
-
Gen-ID
- 54857
-
UniProt
- Q9HCC8
Target
-