Telefon:
+49 (0)241 95 163 153
Fax:
+49 (0)241 95 163 155
E-Mail:
orders@antikoerper-online.de

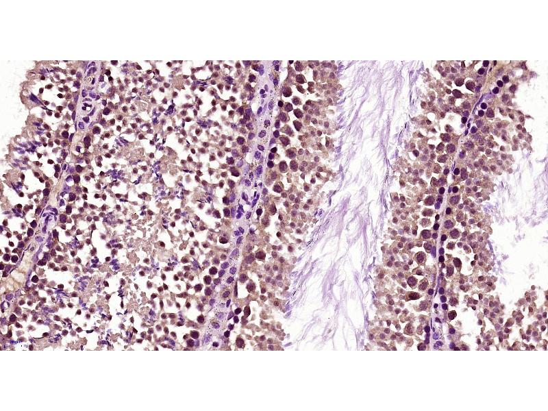
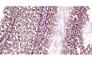
FBXO15 Antikörper (AA 101-200)

Es gibt 1 Publikation für dieses Produkt. Der Kaninchen Polyklonal anti-FBXO15 Antikörper wird verwendet zum Nachweis von FBXO15 in Proben von Maus und Ratte. Er wurde validiert für WB, ELISA, IF (cc), IF (p), IHC (p) und IHC (fro).
Produktnummer ABIN1386824
357,70 €
Zzgl. Versandkosten 20,00 € und MwSt
100 μL
Lieferung nach: Deutschland
Lieferung in 8 bis 12 Werktagen

Kurzübersicht für FBXO15 Antikörper (AA 101-200) (ABIN1386824)

Target

Alle FBXO15 Antikörper anzeigen
FBXO15 (F-Box Protein 15 (FBXO15))

Reaktivität

  • 21
  • 16
  • 15
  • 2
  • 2
  • 2
  • 2
  • 2
  • 1
  • 1
Maus, Ratte

Wirt

  • 35
Kaninchen

Klonalität

  • 35
Polyklonal

Konjugat

  • 12
  • 4
  • 3
  • 3
  • 1
  • 1
  • 1
  • 1
  • 1
  • 1
  • 1
  • 1
  • 1
  • 1
  • 1
  • 1
  • 1
Dieser FBXO15 Antikörper ist unkonjugiert

Applikation

  • 30
  • 13
  • 12
  • 12
  • 10
  • 5
  • 2
  • 1
Western Blotting (WB), ELISA, Immunofluorescence (Cultured Cells) (IF (cc)), Immunofluorescence (Paraffin-embedded Sections) (IF (p)), Immunohistochemistry (Paraffin-embedded Sections) (IHC (p)), Immunohistochemistry (Frozen Sections) (IHC (fro))
  • Bindungsspezifität

    • 14
    • 8
    • 6
    • 5
    • 2
    • 1
    • 1
    AA 101-200

    Kreuzreaktivität

    Maus, Ratte

    Homologie

    Human,Pig

    Aufreinigung

    Purified by Protein A.

    Immunogen

    KLH conjugated synthetic peptide derived from human Fbx15

    Isotyp

    IgG
  • Applikationshinweise

    WB 1:300-5000
    ELISA 1:500-1000
    IHC-P 1:200-400
    IHC-F 1:100-500
    IF(IHC-P) 1:50-200
    IF(IHC-F) 1:50-200
    IF(ICC) 1:50-200

    Beschränkungen

    Nur für Forschungszwecke einsetzbar
  • Format

    Liquid

    Konzentration

    1 μg/μL

    Buffer

    0.01M TBS( pH 7.4) with 1 % BSA, 0.02 % Proclin300 and 50 % Glycerol.

    Konservierungsmittel

    ProClin

    Vorsichtsmaßnahmen

    This product contains ProClin: a POISONOUS AND HAZARDOUS SUBSTANCE, which should be handled by trained staff only.

    Lagerung

    4 °C,-20 °C

    Informationen zur Lagerung

    Shipped at 4°C. Store at -20°C for one year. Avoid repeated freeze/thaw cycles.

    Haltbarkeit

    12 months
  • Chang, Hung, Zhang, Hsieh, Hsu, Ding: "A Novel Signature of CCNF-Associated E3 Ligases Collaborate and Counter Each Other in Breast Cancer." in: Cancers, Vol. 13, Issue 12, (2021) (PubMed).

  • Target

    FBXO15 (F-Box Protein 15 (FBXO15))

    Andere Bezeichnung

    Fbx15

    Hintergrund

    Synonyms: F box protein 15, F-box only protein 15, F-box protein 15, Fbxo15, MGC39671, FBX15_HUMAN.

    Background: FBXO15, also known as FBX15, is a 434 amino acid protein that contains one C-terminal F-box domain and belongs to the F-box family of proteins. F-box proteins are critical components of the SCF (Skp1-CUL-1-F-box protein) type E3 ubiquitin ligase complex and are involved in substrate recognition and recruitment for ubiquitination. They are members of a larger family of proteins that are involved in the regulation of a wide variety of cellular processes (including the cell cycle, immune response, signaling cascades and developmental processes) through the targeting of proteins, such as cyclins, cyclin-dependent kinase inhibitors, IkB-a and b-catenin, for degradation by the proteasome after ubiquitination. Via its F-box domain, FBXO15 can directly interact with Skp1 p19 and CUL-1. In addition, FBXO15 is a target of the transcription factor Oct-3/4, however, it does not appear to be essential for early development and fertility.

    Gen-ID

    201456
Sie sind hier:
Chat with us!