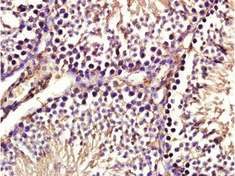
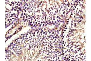
APH1B Antikörper (AA 51-150)
Kurzübersicht für APH1B Antikörper (AA 51-150) (ABIN1386275)
Target
Alle APH1B (Aph1b) Antikörper anzeigenReaktivität
Wirt
Klonalität
Konjugat
Applikation
-
-
Bindungsspezifität
- AA 51-150
-
Kreuzreaktivität
- Maus
-
Homologie
- Human,Rat,Dog,Cow,Sheep,Pig
-
Aufreinigung
- Purified by Protein A.
-
Immunogen
- KLH conjugated synthetic peptide derived from human Aph-1b
-
Isotyp
- IgG
-
-
-
-
Applikationshinweise
-
WB 1:300-5000
ELISA 1:500-1000
IHC-P 1:200-400
IHC-F 1:100-500
IF(IHC-P) 1:50-200
IF(IHC-F) 1:50-200
IF(ICC) 1:50-200
ICC 1:100-500 -
Beschränkungen
- Nur für Forschungszwecke einsetzbar
-
-
-
Format
- Liquid
-
Konzentration
- 1 μg/μL
-
Buffer
- 0.01M TBS( pH 7.4) with 1 % BSA, 0.02 % Proclin300 and 50 % Glycerol.
-
Konservierungsmittel
- ProClin
-
Vorsichtsmaßnahmen
- This product contains ProClin: a POISONOUS AND HAZARDOUS SUBSTANCE, which should be handled by trained staff only.
-
Lagerung
- 4 °C,-20 °C
-
Informationen zur Lagerung
- Shipped at 4°C. Store at -20°C for one year. Avoid repeated freeze/thaw cycles.
-
Haltbarkeit
- 12 months
-
-
- APH1B (Aph1b) (Anterior Pharynx Defective 1 Homolog B (Aph1b))
-
Andere Bezeichnung
- Aph-1b
-
Hintergrund
-
Synonyms: PSFL, APH-1B, PRO1328, TAAV688, Gamma-secretase subunit APH-1B, Aph-1beta, Presenilin-stabilization factor-like, APH1B, UNQ688/PRO1328
Background: Probable subunit of the gamma-secretase complex, an endoprotease complex that catalyzes the intramembrane cleavage of integral proteins such as Notch receptors and APP (beta-amyloid precursor protein). It probably represents a stabilizing cofactor for the presenilin homodimer that promotes the formation of a stable complex. Probably present in a minority of gamma-secretase complexes compared to APH1A.
-
Gen-ID
- 83464
-
UniProt
- Q8WW43
-
Pathways
- Notch Signalweg, Neurotrophin Signalübertragung
Target
-