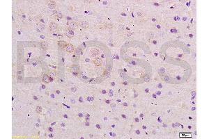
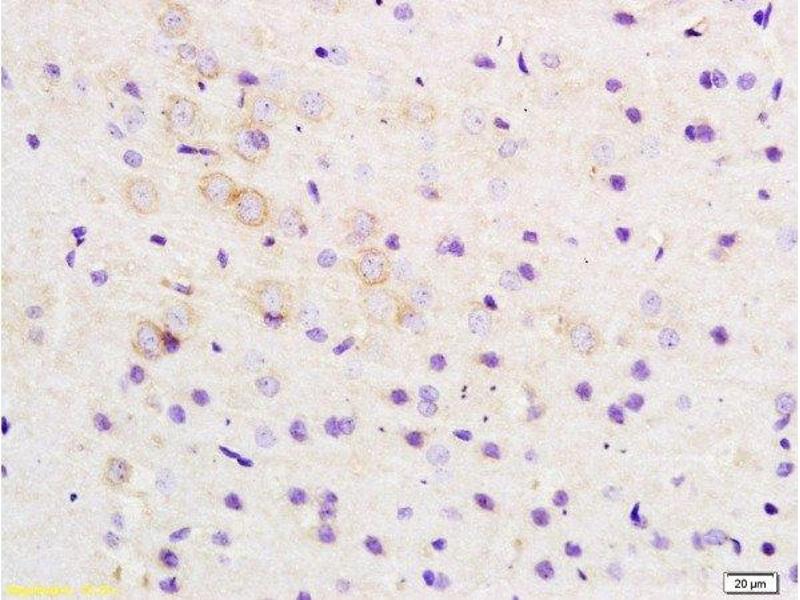
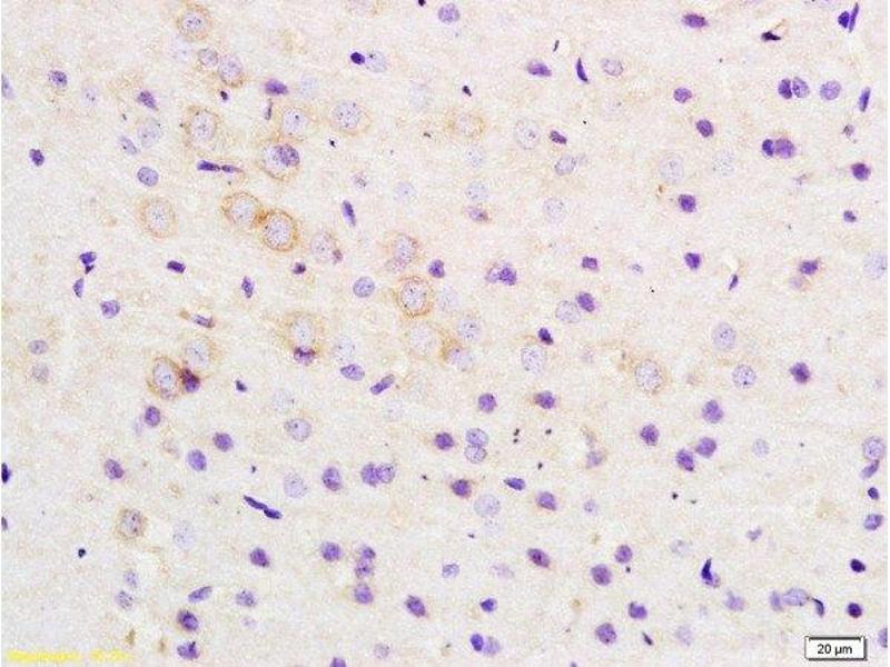
ARHGAP32 Antikörper (AA 860-896)
Kurzübersicht für ARHGAP32 Antikörper (AA 860-896) (ABIN1386112)
Target
Alle ARHGAP32 Antikörper anzeigenReaktivität
Wirt
Klonalität
Konjugat
Applikation
-
-
Bindungsspezifität
- AA 860-896
-
Kreuzreaktivität
- Human, Maus, Ratte
-
Aufreinigung
- Purified by Protein A.
-
Immunogen
- KLH conjugated synthetic peptide derived from human ARHGAP32
-
Isotyp
- IgG
-
-
-
-
Applikationshinweise
-
IHC-P 1:200-400
IF(IHC-P) 1:50-200 -
Beschränkungen
- Nur für Forschungszwecke einsetzbar
-
-
-
Format
- Liquid
-
Konzentration
- 1 μg/μL
-
Buffer
- 0.01M TBS( pH 7.4) with 1 % BSA, 0.02 % Proclin300 and 50 % Glycerol.
-
Konservierungsmittel
- ProClin
-
Vorsichtsmaßnahmen
- This product contains ProClin: a POISONOUS AND HAZARDOUS SUBSTANCE, which should be handled by trained staff only.
-
Lagerung
- 4 °C,-20 °C
-
Informationen zur Lagerung
- Shipped at 4°C. Store at -20°C for one year. Avoid repeated freeze/thaw cycles.
-
Haltbarkeit
- 12 months
-
-
- ARHGAP32 (rho GTPase Activating Protein 32 (ARHGAP32))
-
Andere Bezeichnung
- ARHGAP32
-
Hintergrund
-
Synonyms: GRIT, RICS, GC-GAP, PX-RICS, p250GAP, p200RhoGAP, Rho GTPase-activating protein 32, Brain-specific Rho GTPase-activating protein, GAB-associated Cdc42/Rac GTPase-activating protein, GTPase regulator interacting with TrkA, Rho-type GTPase-activating protein 32, Rho/Cdc42/Rac GTPase-activating protein RICS, RhoGAP involved in the beta-catenin-N-cadherin and NMDA receptor signaling, ARHGAP32, KIAA0712
Background: GTPase-activating protein (GAP) promoting GTP hydrolysis on RHOA, CDC42 and RAC1 small GTPases. May be involved in the differentiation of neuronal cells during the formation of neurite extensions. Involved in NMDA receptor activity-dependent actin reorganization in dendritic spines. May mediate cross-talks between Ras- and Rho-regulated signaling pathways in cell growth regulation. Isoform 2 has higher GAP activity (By similarity).
-
Gen-ID
- 9743
-
UniProt
- A7KAX9
Target
-