DENND2D Antikörper (AA 200-238)
Kurzübersicht für DENND2D Antikörper (AA 200-238) (ABIN1385457)
Target
Reaktivität
Wirt
Klonalität
Konjugat
Applikation
-
-
Bindungsspezifität
- AA 200-238
-
Kreuzreaktivität
- Human, Maus, Ratte
-
Aufreinigung
- Purified by Protein A.
-
Immunogen
- KLH conjugated synthetic peptide derived from human DENND2D
-
Isotyp
- IgG
-
-
-
-
Applikationshinweise
-
WB 1:300-5000
FCM 1:20-100
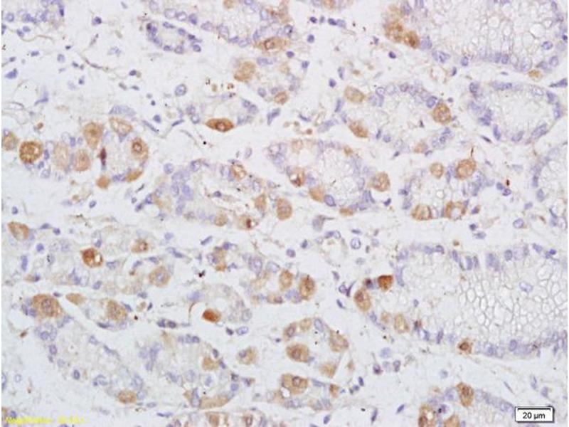
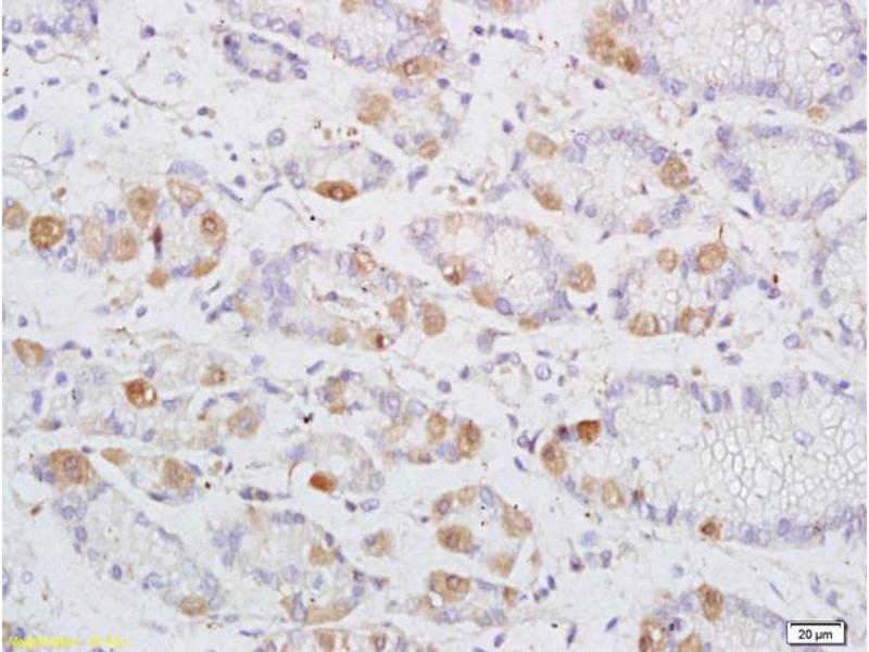
IHC-P 1:200-400
IF(IHC-P) 1:50-200 -
Beschränkungen
- Nur für Forschungszwecke einsetzbar
-
-
-
Format
- Liquid
-
Konzentration
- 1 μg/μL
-
Buffer
- 0.01M TBS( pH 7.4) with 1 % BSA, 0.02 % Proclin300 and 50 % Glycerol.
-
Konservierungsmittel
- ProClin
-
Vorsichtsmaßnahmen
- This product contains ProClin: a POISONOUS AND HAZARDOUS SUBSTANCE, which should be handled by trained staff only.
-
Lagerung
- 4 °C,-20 °C
-
Informationen zur Lagerung
- Shipped at 4°C. Store at -20°C for one year. Avoid repeated freeze/thaw cycles.
-
Haltbarkeit
- 12 months
-
-
- DENND2D (DENN/MADD Domain Containing 2D (DENND2D))
-
Andere Bezeichnung
- DENND2D
-
Hintergrund
-
Synonyms: DENN domain-containing protein 2D, DENND2D
Background: Guanine nucleotide exchange factor (GEF) which may activate RAB9A and RAB9B. Promotes the exchange of GDP to GTP, converting inactive GDP-bound Rab proteins into their active GTP-bound form.
-
Gen-ID
- 79961
-
UniProt
- Q9H6A0
Target
-