MICA/B Antikörper (AA 81-180)
Kurzübersicht für MICA/B Antikörper (AA 81-180) (ABIN1385296)
Target
Reaktivität
Wirt
Klonalität
Konjugat
Applikation
-
-
Bindungsspezifität
- AA 81-180
-
Kreuzreaktivität
- Human
-
Aufreinigung
- Purified by Protein A.
-
Immunogen
- KLH conjugated synthetic peptide derived from human MICB
-
Isotyp
- IgG
-
-
-
-
Applikationshinweise
-
ELISA 1:500-1000
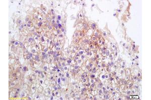
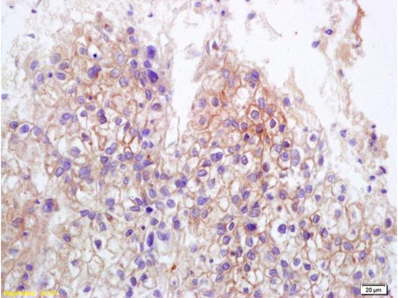
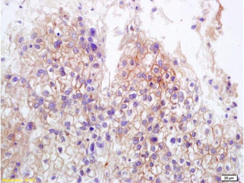
IHC-P 1:200-400
IHC-F 1:100-500
IF(IHC-P) 1:50-200
IF(IHC-F) 1:50-200
IF(ICC) 1:50-200 -
Beschränkungen
- Nur für Forschungszwecke einsetzbar
-
-
-
Format
- Liquid
-
Konzentration
- 1 μg/μL
-
Buffer
- 0.01M TBS( pH 7.4) with 1 % BSA, 0.02 % Proclin300 and 50 % Glycerol.
-
Konservierungsmittel
- ProClin
-
Vorsichtsmaßnahmen
- This product contains ProClin: a POISONOUS AND HAZARDOUS SUBSTANCE, which should be handled by trained staff only.
-
Lagerung
- 4 °C,-20 °C
-
Informationen zur Lagerung
- Shipped at 4°C. Store at -20°C for one year. Avoid repeated freeze/thaw cycles.
-
Haltbarkeit
- 12 months
-
-
- MICA/B (MICA/MICB) (MHC Class I Polypeptide-Related Sequence A/B (MICA/MICB))
-
Andere Bezeichnung
- MICA+MICB
-
Hintergrund
-
Synonyms: MICA: MHC class I polypeptide-related sequence A, MIC-A, HLA class I antigen MICB: MHC class I polypeptide-related sequence B, MIC-B, MHC class I mic-B antigen
Background: Acts as a stress-induced self-antigen that is recognized by gamma delta T-cells. Ligand for the KLRK1/NKG2D receptor. Binding to KLRK1 leads to cell lysis.
-
Gen-ID
- 100507436, 4277
-
UniProt
- Q29983, Q29980
Target
-