Telefon:
+49 (0)241 95 163 153
Fax:
+49 (0)241 95 163 155
E-Mail:
orders@antikoerper-online.de

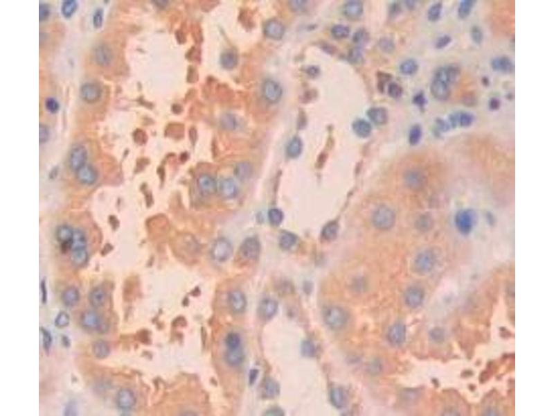
CCL14 Antikörper (AA 20-93)

Dieser Kaninchen Polyklonal Antikörper detektiert spezifisch CCL14 in WB, IHC, IP und ICC. Es zeigt Reaktivität gegenüber Proben von Human.
Produktnummer ABIN1174243
232,00 €
Zzgl. Versandkosten 20,00 € und MwSt
Lieferung nach: Deutschland
Lieferung in 13 bis 17 Werktagen

Kurzübersicht für CCL14 Antikörper (AA 20-93) (ABIN1174243)

Target

Alle CCL14 Antikörper anzeigen
CCL14 (Chemokine (C-C Motif) Ligand 14 (CCL14))

Reaktivität

Human

Wirt

  • 26
  • 9
  • 1
  • 1
Kaninchen

Klonalität

  • 27
  • 10
Polyklonal

Konjugat

  • 19
  • 5
  • 3
  • 1
  • 1
  • 1
  • 1
  • 1
  • 1
  • 1
  • 1
  • 1
  • 1
Dieser CCL14 Antikörper ist unkonjugiert

Applikation

  • 15
  • 12
  • 7
  • 3
  • 2
  • 2
  • 2
  • 2
  • 1
  • 1
  • 1
  • 1
Western Blotting (WB), Immunohistochemistry (IHC), Immunoprecipitation (IP), Immunocytochemistry (ICC)
  • Bindungsspezifität

    • 9
    • 2
    • 2
    • 1
    • 1
    AA 20-93

    Verwendungszweck

    Polyclonal Antibody to Chemokine C-C-Motif Ligand 14 (CCL14)

    Spezifität

    The antibody is a rabbit polyclonal antibody raised against CCL14. It has been selected for its ability to recognize CCL14 in immunohistochemical staining and western blotting.

    Aufreinigung

    Antigen-specific affinity chromatography followed by Protein A affinity chromatography

    Immunogen

    RPB122Hu01Recombinant Chemokine CCMotif Ligand 14 (CCL14)

    Isotyp

    IgG
  • Applikationshinweise

    Western blotting: 0.01-2 μg/mL,Immunohistochemistry: 5-20 μg/mL,Immunofluorescence:5-20 μg/mL,Optimal working dilutions must be determined by end user.

    Kommentare

    The thermal stability is described by the loss rate. The loss rate was determined by accelerated thermal degradation test, that is, incubate the protein at 37°C for 48h, and no obvious degradation and precipitation were observed. The loss rate is less than 5% within the expiration date under appropriate storage condition.

    Beschränkungen

    Nur für Forschungszwecke einsetzbar
  • Format

    Liquid

    Konzentration

    0.5 mg/mL

    Buffer

    PBS, pH 7.4, containing 0.02 % Sodium azide, 50 % glycerol.

    Konservierungsmittel

    Sodium azide

    Vorsichtsmaßnahmen

    WARNING: Reagents contain sodium azide. Sodium azide is very toxic if ingested or inhaled. Avoid contact with skin, eyes, or clothing. Wear eye or face protection when handling. If skin or eye contact occurs, wash with copious amounts of water. If ingested or inhaled, contact a physician immediately. Sodium azide yields toxic hydrazoic acid under acidic conditions. Dilute azide-containing compounds in running water before discarding to avoid accumulation of potentially explosive deposits in lead or copper plumbing.

    Handhabung

    Avoid repeated freeze-thaw cycles.

    Lagerung

    4 °C,-20 °C

    Informationen zur Lagerung

    Store at 4°C for frequent use. Stored at -20°C in a manual defrost freezer for two year without detectable loss of activity. Avoid repeated freeze-thaw cycles.

    Haltbarkeit

    12 months
  • Target

    CCL14 (Chemokine (C-C Motif) Ligand 14 (CCL14))

    Andere Bezeichnung

    CCL14

    Hintergrund

    SCYA14, HCC-1, HCC-3, NCC-2, SCYL2, CKb1, MCIF, Small Inducible Cytokine Subfamily A(Cys-Cys)Member 14
Sie sind hier:
Chat with us!