×
Aktivieren Sie Javascript in Ihrem Browser, um unsere Webseite optimal zu nutzen.
MELK Antikörper
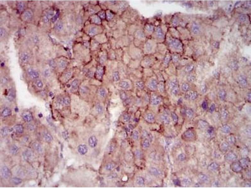
Dieser Maus Monoklonal Antikörper detektiert spezifisch MELK in IF, IHC (p) und EIA. Es zeigt Reaktivität gegenüber Proben von Human.
Produktnummer ABIN1108210
1.108,01 €
Zzgl. Versandkosten 20,00 € und MwSt
Lieferung in 16 Werktagen
Kurzübersicht für MELK Antikörper (ABIN1108210)
Target
Alle MELK Antikörper anzeigen
MELK
(Maternal Embryonic Leucine Zipper Kinase (MELK))
Reaktivität
Alle Reaktivitäten für MELK Antikörper
Human
Wirt
Alle Wirte für MELK Antikörper
Maus
Klonalität
Alle Klonalitäten für MELK Antikörper
Monoklonal
Konjugat
Alle Konjugate für MELK Antikörper
Dieser MELK Antikörper ist unkonjugiert
Applikation
Alle Applikationen für MELK Antikörper
Immunofluorescence (IF), Immunohistochemistry (Paraffin-embedded Sections) (IHC (p)), Enzyme Immunoassay (EIA)
Klon
2G2
Produktdetails anti-MELK Antikörper
(ausblenden)
Spezifität
This antibody recognizes Human MELK. Other species not tesetd.
Aufreinigung
Purified
Isotyp
IgG2a
Alternativen
(anzeigen)
Anwendungsinformationen
(ausblenden)
Applikationshinweise
Optimal working dilution should be determined by the investigator.
Beschränkungen
Nur für Forschungszwecke einsetzbar
Handhabung
(ausblenden)
Format
Liquid
Konzentration
1.0 mg/mL
Buffer
PBS, 0.05 % Sodium Azide, 0.5 % protein stabilizer
Konservierungsmittel
Sodium azide
Vorsichtsmaßnahmen
This product contains sodium azide: a POISONOUS AND HAZARDOUS SUBSTANCE which should be handled by trained staff only.
Details zu MELK
(ausblenden)
Target
MELK
(Maternal Embryonic Leucine Zipper Kinase (MELK))
Andere Bezeichnung
MELK
Hintergrund
Maternal embryonic leucine-zipper kinase (MELK) is a key regulator of survival of stemlike GBM cells in vitro. MELK expression is increased in breast cancer tissue and this increase is also associated with poor patient survival, as predicted for a candidate oncogene.Synonyms: KIAA0175, Maternal embryonic leucine zipper kinase, hMELK
Molekulargewicht
74.6 kDa
Gen-ID
9833
Zuletzt angesehen
(ausblenden)
Chat with us , powered by LiveChat