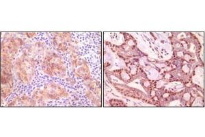
Der Maus Monoklonal anti-SNCG Antikörper (Klon 1H10D2) (ABIN1107306) detektiert spezifisch SNCG in WB und IHC (p).
Dieser Antikörper reagiert spezifisch mit Proben aus Human.
SNCG
Reaktivität: Ratte
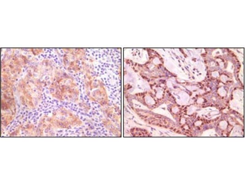
WB, ELISA, IHC (p), IF (cc), IF (p), IHC (fro)
Wirt: Kaninchen
Polyclonal
unconjugated
Applikationshinweise
Optimal working dilution should be determined by the investigator.
Beschränkungen
Nur für Forschungszwecke einsetzbar
Buffer
0.03 % Sodium Azide
Konservierungsmittel
Sodium azide
Vorsichtsmaßnahmen
This product contains sodium azide: a POISONOUS AND HAZARDOUS SUBSTANCE which should be handled by trained staff only.
Target
SNCG
(Synuclein, gamma (Breast Cancer-Specific Protein 1) (SNCG))
Andere Bezeichnung
gamma-Synuclein / SNCG
Hintergrund
SNCG (also designated gamma-synuclein or breast cancer-specific protein 1),with 127-amino acid protein(about 14 kDa), belongs to the synuclein family, which also includes alpha- and beta- synuclein.Three synucleins are located in the neuronal cytosol and enriched in presynaptic terminals,while SNCG is also expressed in many other non-neuronal tissues. SNCG is abnormally expressed in a high percentage of tumor tissues of diversified cancer types, including liver, esophagus, colon, gastric, lung, prostate, cervical, and breast cancer, but rarely expressed in tumor-matched nonneoplastic adjacent tissues. High levels of SNCG have been identified in advanced breast carcinomas suggesting a correlation between overexpression of SNCG and breast tumor development.Synonyms: BCSG1, Breast cancer-specific gene 1 protein, PERSYN, PRSN, Synoretin, Synuclein gamma